症例
2024-11-18
3ヶ月ホワイトニング続けた方の症例
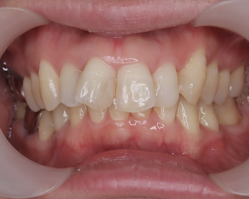
人生初のホワイトニング。前から気になっていたが不安もあり踏み出せなかったが思い切ってやってみようと思い来店。もともと黄ばみが強くしっかりホームホワイトニングをしていただく事を説明。とても真面目な方で1〜2時間ホームホワイトニングしていただき見事3ヶ月で目標色に達成した。初回と最終回の写真を見ていただきとても喜んでいた。ホワイトニングしてよかったとおっしゃっていただけた。
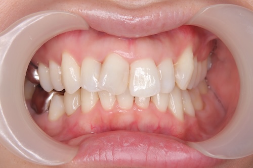
初診時シェード 右上1 C3右下3 A4
目標 BL03
初回)オフィスホワイトニング 右上1 A3右下3 A3.5
色上がりに満足されていた。
3回目)オフィスホワイトニング 右上1 B2右下3 C2
ホームホワイトニング10%2本濃度16%1本お渡しして使っていただく。30分週2〜3回連続で使用。
4回目)オフィスホワイトニング 右上1 B1右下3 A2
ホームホワイトニング16%使用中。1時間週2〜3回使用。
5回目)オフィスホワイトニング 右上1 BL04 右下3 B2
ホームホワイトニング22%使用中。連続でできない日が多い。根本の黄ばみの色が抜けないのでジェル量の確認と下の歯防水お伝え。
6回目) オフィスホワイトニング 右上1 BL04右下3 B1
ホームホワイトニング22%連続して行えた。色抜け気になるので35%お渡しする。
7回目) オフィスホワイトニング 右上1 BL03右下2 B1
ホームホワイトニング35%連続で30分から行い現在1時間使用しても問題なし。根本の黄ばみの色抜け具合はバイオフィルムも原因なので歯石がついてきている事から最終回の時にクリーニングとホワイトニング一緒に行うこと提案。
8回目) オフィスホワイトニング 右上1 BL03 右下2 B1
ホームホワイトニング35%問題なく使用中。本日コース終了後もホームジェルは使い切っていただく。今後のメンテナンスはジェルまたはペンでタッチアップしていく。歯石もつきやすい事から3ヶ月に1度のCLお伝え。
施術内容
パーフェクト美白プラン(3ヶ月分)(168,300税込円) ・オフィスホワイトニング6回分 ・クリーニング(スタンダードケア)1回分 ・マウスピーストレー上下・付属品 ・ホームジェル5日分x18本 ・NBベリーホワイト1本 ・NBトゥースペースト1本シェードの変化
- 施術前
- 施術後










