





セルフホワイトニングやエステサロンで行われているホワイトニングは、法律上、歯を漂白する成分を含む医薬品を使用することができません。
そのため、歯の表面の汚れを除去し一時的に明るく見せることはできますが、歯の内部に作用させるホワイトニングには限界があります。
セルフホワイトニングでは、元々の歯の色以上に白くすることや、ブリーチシェードを目指すことはできません。
ホワイトニングサロンBeauteは歯科医院として、歯科専用の医薬品を使用した医療ホワイトニングを行っています。歯の内部に働きかけることで、元々の歯の色以上の白さを目指すことが可能です。
近年、ホワイトニングを行う歯科医院は増えていますが、Beauteは全国の歯科医院にホワイトニング技術を指導する講師陣が運営しているホワイトニング専門の歯科医院です。専門的にホワイトニングに取り組んできたため、症例経験が豊富で、施術は国家資格を持つスタッフのみが担当しています。
歯の色や着色の原因、歯質はお一人お一人異なるため、白くなっていくまでの期間や回数、白さを保つ方法も同じではありません。Beauteでは、歯の状態を見極めたうえで、その方に合った進め方について丁寧にご案内しています。
実際に、1回あたりの料金が安いホワイトニングを数回受けたものの、数か月後には元の色に戻ってしまったというご相談で来院される方も少なくありません。ホワイトニングでは、「どのように白くしていくか」だけでなく、「目標の白さに到達したあと、その白さをどう維持していくか」が重要になります。
歯質や食生活によって最適な方法は異なり、的確な判断やアドバイスには経験が欠かせません。Beauteはホワイトニング専門歯科としての知識と実績を活かし、お一人お一人に合わせた医療ホワイトニングをご提供しています。
Beauteは、全国の歯科医院にホワイトニング技術を指導する講師が運営する、ホワイトニング・デンタルエステ専門の歯科医院です。
一般的な歯科治療は行わず、ホワイトニングやクリーニングを中心に、口元の美しさと心地よさを大切にした施術を行っています。
院内はリラックスしてお過ごしいただける空間づくりを重視し、施術はすべて国家資格を持つ歯科医師・歯科衛生士が担当しています。
現在は大阪・神戸・東京・沖縄などに複数の拠点を展開し、各院において技術とおもてなしの質を保つため、日々研修を重ねています。
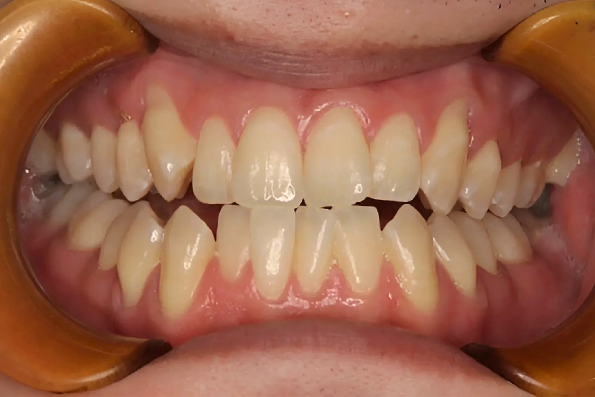
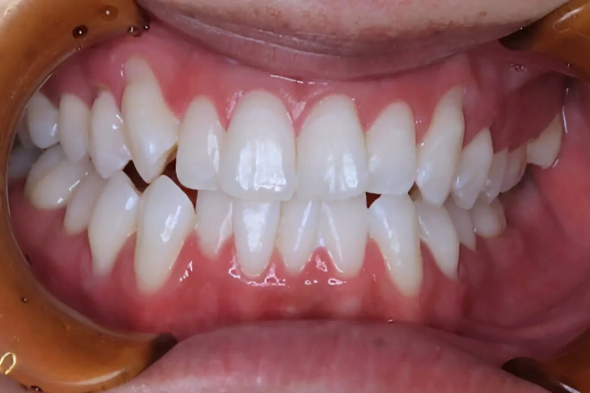
黄ばみの程度や歯質、食生活などによって個人差はありますが、1回のホワイトニングで2段階〜4段階ほど白さの変化を実感される方が多いです。
1回の施術でも白くなったと感じていただけるケースは多いものの、黄ばみの濃い歯を1回でブリーチシェード(陶器のような白さ)にすることは、どのホワイトニング方法でも難しいとされています。
ブリーチシェードのような真っ白な歯を目指す場合は、ホワイトニングを重ねて行うことで到達しやすくなります。必要な回数は、黄ばみの程度や目指す白さ、食生活、歯質などによって異なりますので、カウンセリング時にご案内しています。
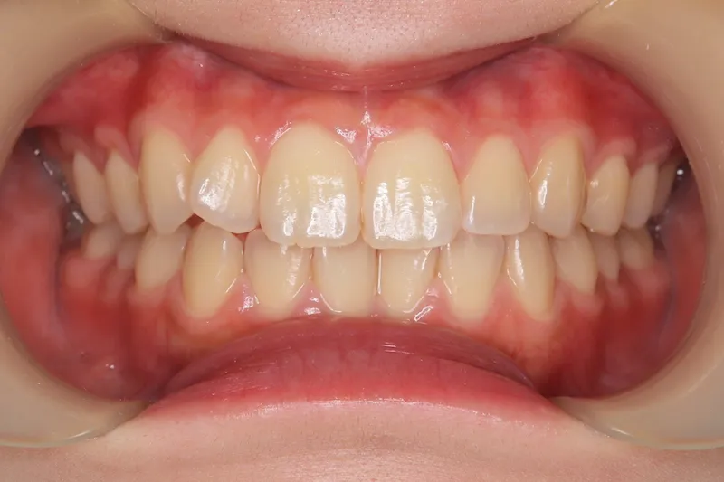
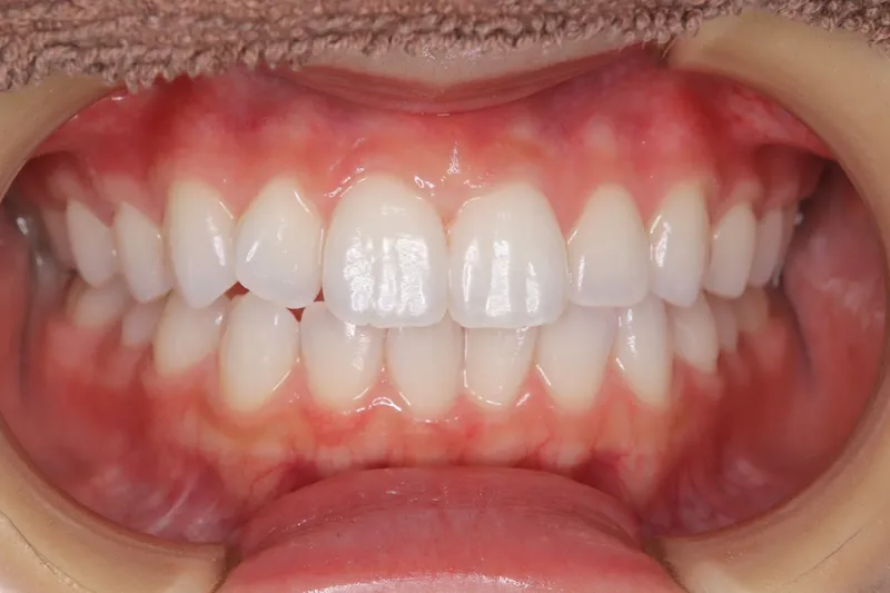
ホワイトニングは、笑ったときに見える前歯を中心とした16本にホワイトニング剤を塗布して行います。
口元の印象に影響しやすい部分を重点的に施術することで、自然でバランスの良い白さを目指します。
ホワイトニングの効果の持続期間には個人差がありますが、1回のホワイトニングでも3か月〜10か月程度白さを実感される方が多いとされています。
短期間で集中的にホワイトニングを行い、ブリーチシェードまで白さを高めた場合は、ご自宅での簡単なメンテナンスを続けることで、白い歯を保ちやすくなります。
歯質や食生活、生活習慣によって持続期間は異なりますので、目指す白さやライフスタイルに合わせた方法をご案内しています。
ホワイトニングは、歯を削ったり溶かしたりする処置ではありません。
現在行われている医療ホワイトニングは、20年以上前から研究・実施されてきた方法で、歯の表面を傷つけることなく、歯の内部の色素に働きかけて白さを引き出します。
歯科医師・歯科衛生士が歯の状態を確認しながら施術を行うため、歯や歯ぐきへの負担に配慮しつつ、安全性を重視したホワイトニングを行っています。
ホワイトニングは、どの方法を用いた場合でも、施術後にまれにしみや痛みを感じることがあります。
Beauteでは、施術前後にしみを抑えるためのケアを行い、アパタイト配合クリームによるコーティングを取り入れることで、歯への刺激や不快感をできるだけ軽減できるよう配慮しています。
歯の状態を確認しながら施術を進めるため、違和感がある場合も無理のない範囲で対応しています。
はい、男性の方も多くご来院されています。
実際に、当院ではご来院される方の約4分の1が男性で、ビジネスシーンや身だしなみの一環としてホワイトニングを受けられる方も増えています。
落ち着いた空間で施術を行っておりますので、初めての方も安心してご利用いただけます。
ホワイトニングの施術は、すべて自費診療(健康保険適用外)となります。
ホワイトニングは見た目の美しさを目的とした施術のため、健康保険の対象にはなりません。
はい、各種クレジットカードをご利用いただけます。
お支払い方法についてご不明な点がございましたら、お気軽にお尋ねください。
パーソナライズド・ホワイトニングとは?歯の白さをデザインする時代へ
パーソナライズド・ホワイトニングが注目される理由 最近、SNSや美容医療業界を中心に急速に注目を集めているキーワード「パーソナライズド・ホワイトニング」をご存知でしょうか。 2026年の今、ホワイトニ…
30代女性の症例紹介 ホワイトニングをきっかけに口腔ケア習慣が変化
ご来院のきっかけと初診時の状態 30代女性のお客様が、職場でホワイトニングをしている方を見てご自身も歯を白くしたいと思い、ホワイトニングサロンBeauteへご来院されました。これまで定期的なメンテナン…
卒業式と入社式に向けて犬歯の黄ばみを改善 20代女性ホワイトニング症例
ご来院のきっかけとお悩み 20代女性のお客様が、卒業式と入社式という大切なイベントを控え、歯を白くしたいとの思いからホワイトニングサロンBeauteへご来院されました。特に犬歯の黄ばみが強く、笑ったと…
神経を取った歯の変色が気になる方へ 周囲の歯も一緒に白くするホワイトニング症例
ご来院のきっかけと初診時の状態 ホワイトニングサロンBeauteへご来院されたお客様は、右上1番と2番が治療により神経を取っており、時間の経過とともに変色してきたことを気にされていました。 それに加え…
TikTokを見て歯を白くしたいと来院された男性
20代男性 ご来院のきっかけ 20代男性のお客様がTikTokを見て、周囲の人との歯の色味が気になりホワイトニングサロンBeauteへご来院されました。第一印象を左右する歯の白さを改善したいという明確…
結婚式で自信のある笑顔へ 黄ばみを克服したブライダルホワイトニング症例
結婚式に向けてホワイトニングを決意 身内の方がホワイトニングをしており、その効果を間近で見ていたことがきっかけでご来院されました。結婚式を控え、自分も白い歯で当日を迎えたいという思いと、元々歯の色にコ…


























