


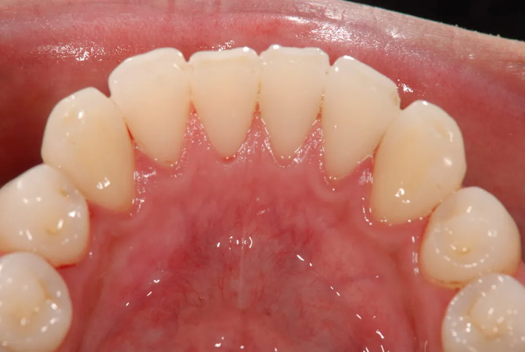
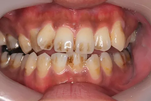
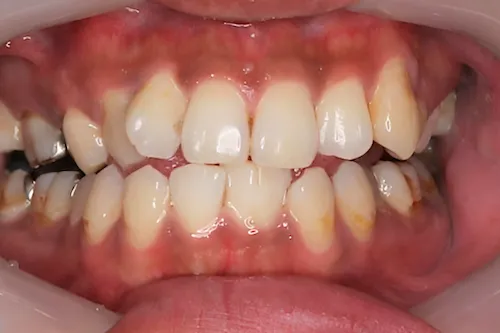
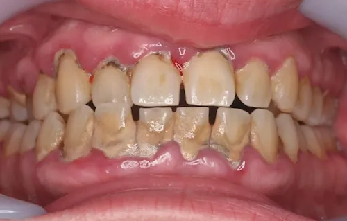
クリーニングは、歯の表面に付着した歯石や歯垢、ヤニや茶渋などの汚れを取り除くケアで、歯本来の色を取り戻すことを目的としています。
一方、ホワイトニングは歯の内側に働きかけて色調を明るくしていく施術のため、クリーニングだけでは得られない白さを目指すことができます。より明るく透明感のある歯を希望される場合には、ホワイトニングが必要となります。
一方、ホワイトニングは歯の内側に働きかけて色調を明るくしていく施術のため、クリーニングだけでは得られない白さを目指すことができます。より明るく透明感のある歯を希望される場合には、ホワイトニングが必要となります。
保険診療で行うクリーニングは、虫歯や歯周病の治療・予防を目的とした必要最低限の処置が中心となります。一方、ボーテの自費クリーニングは、口元の美しさや施術中の快適さ、予防の質に重点を置いているのが特長です。
エアフローによる着色汚れの除去をはじめ、歯の艶出し、歯肉へのケア、口臭対策、仕上げのトリートメントまで、時間をかけて丁寧に行います。細部まで行き届いたケアを受けたい方に、高い満足感を感じていただける内容となっています。
エアフローによる着色汚れの除去をはじめ、歯の艶出し、歯肉へのケア、口臭対策、仕上げのトリートメントまで、時間をかけて丁寧に行います。細部まで行き届いたケアを受けたい方に、高い満足感を感じていただける内容となっています。
ボーテのクリーニングでは、歯の表面に付着した汚れや着色(ステイン)を丁寧に取り除くため、1回の施術でも歯が明るくなったと感じられる方が多くいらっしゃいます。ただし、歯そのものの色をさらに白くしたい場合には、クリーニングに加えてホワイトニングを行うことで、より高い効果が期待できます。
通院の目安はお口の状態によって異なりますが、多くの方には2〜3ヶ月に1回程度のペースをおすすめしています。着色汚れや歯垢、歯石が蓄積する前に定期的なケアを行うことで、歯の健康を保ちつつ、美しい状態を維持しやすくなります。無理のない頻度で続けられるよう、状態に合わせてご提案いたします。
体調が安定していれば、妊娠中・授乳中の方でもクリーニングを受けていただくことは可能です。ただし、ご不安がある場合は、あらかじめかかりつけの産婦人科医にご相談のうえ、ご予約時または来院時にお知らせください。無理のない範囲で配慮しながら対応いたします。















