ホーム
医院のご案内
スタッフ紹介
メニュー
オフィスホワイトニング
ホームホワイトニング
ブライダルホワイトニング
クリーニング
デンタルエステ
歯茎ピーリング
症例
料金表
よくあるご質問
スタッフ採用
アクセス
ブログ
ネット予約
ブログ
ブログ
パーソナライズド・ホワイトニングとは?歯の白さをデザインする時代へ
1月 27, 2026
20代のホワイトニング
,
30代のホワイトニング
,
オフィスホワイトニング
,
パーソナライズド・ホワイトニング
,
ホワイトニング
,
ホームホワイトニング
ブログ
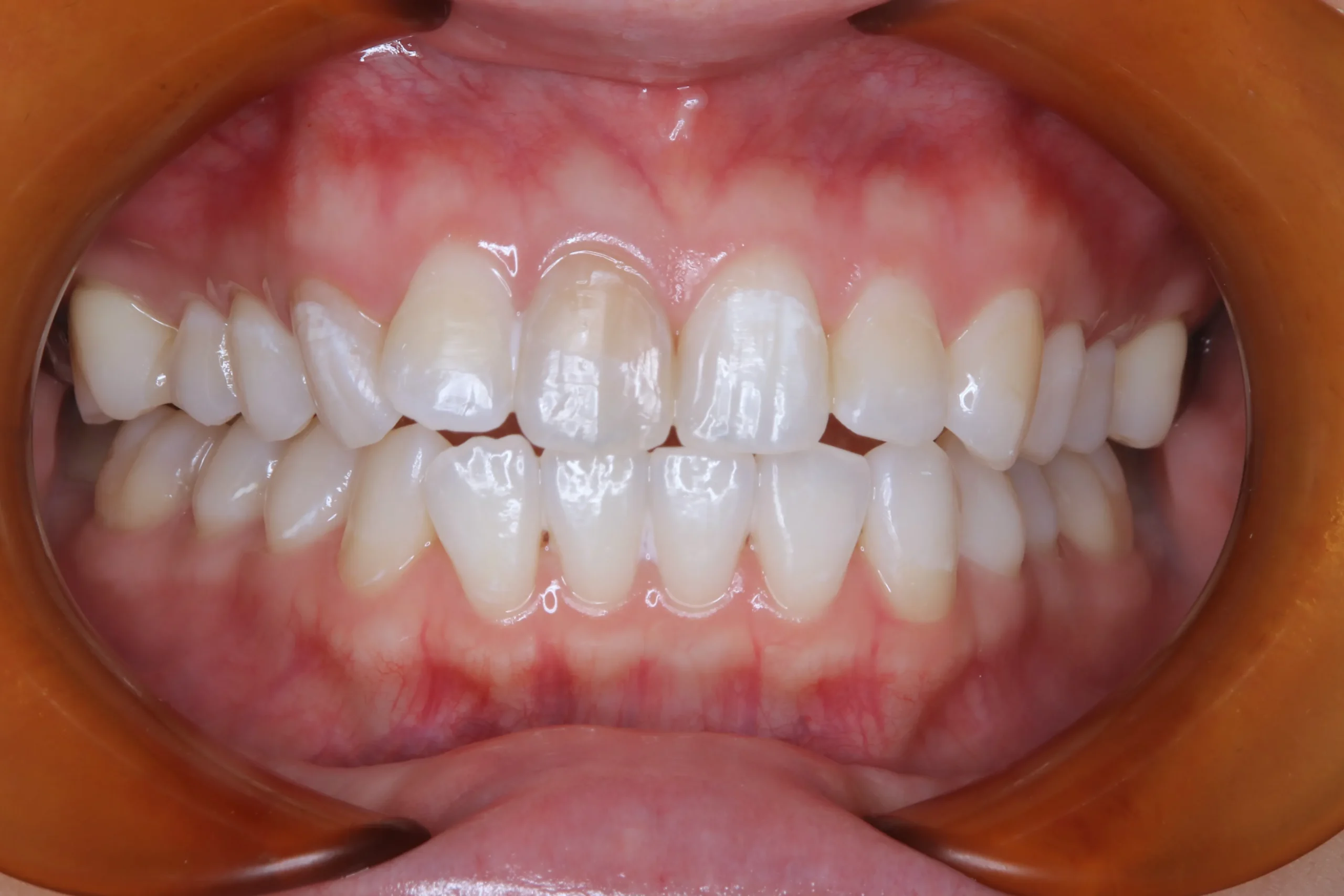
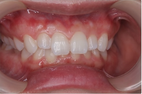
30代女性の症例紹介 ホワイトニングをきっかけに口腔ケア習慣が変化
1月 27, 2026
30代のホワイトニング
,
オフィスホワイトニング
,
ホワイトニング
,
ホームホワイトニング
ブログ
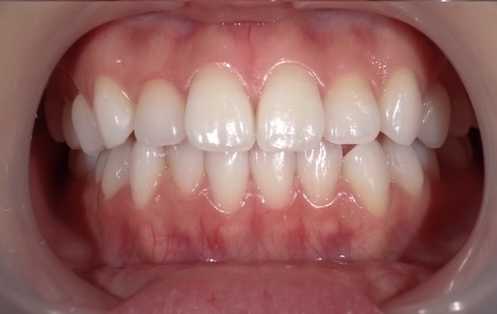
卒業式と入社式に向けて犬歯の黄ばみを改善 20代女性ホワイトニング症例
1月 27, 2026
20代のホワイトニング
,
オフィスホワイトニング
,
ホワイトニング
,
ホームホワイトニング
,
入社式
,
卒業式
,
犬歯の黄ばみ
ブログ
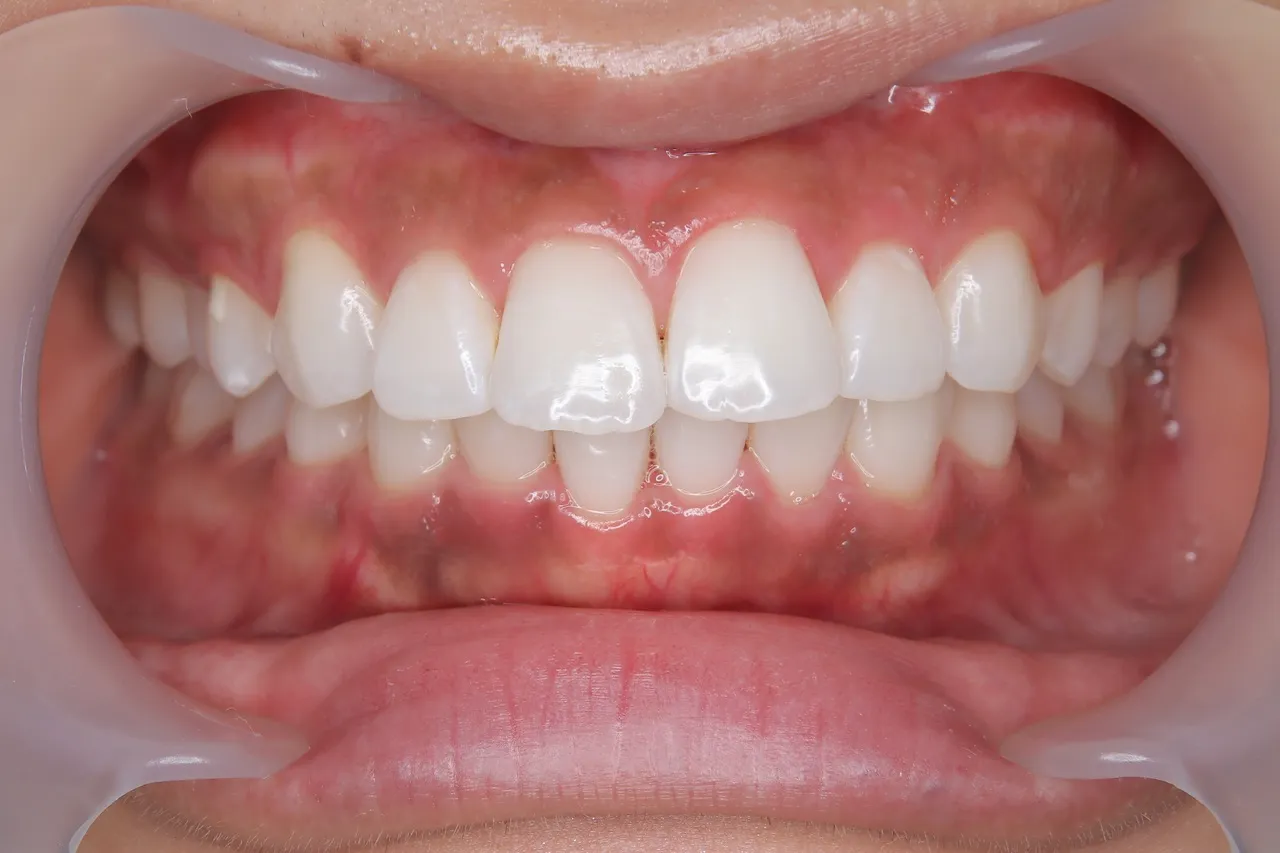
神経を取った歯の変色が気になる方へ 周囲の歯も一緒に白くするホワイトニング症例
1月 27, 2026
オフィスホワイトニング
,
ホワイトニング
,
ホームホワイトニング
,
症例
,
神経を取った歯
ブログ
TikTokを見て歯を白くしたいと来院された男性
1月 27, 2026
オフィスホワイトニング
,
ホワイトニング
,
ホームホワイトニング
,
症例
ブライダルホワイトニング
結婚式で自信のある笑顔へ 黄ばみを克服したブライダルホワイトニング症例
1月 16, 2026
20代のホワイトニング
,
ホワイトニング
,
ホームホワイトニング
,
前撮り
,
結婚式
ブライダルホワイトニング
結婚式まで4ヶ月でブリーチシェードへ 20代女性のブライダルホワイトニング症例
1月 16, 2026
オフィスホワイトニング
,
ブライダルホワイトニング
,
ホワイトニング
,
ホームホワイトニング
,
前撮り
,
結婚式
ブライダルホワイトニング
結婚式まで3ヶ月で理想の白さへ 20代女性のブライダルホワイトニング症例紹介
1月 16, 2026
ブライダルホワイトニング
,
ホワイトニング
,
前撮り
,
結婚式
ブログ
40代からでもここまで白くなる|ホワイトニングサロンBeauteで叶えたブリーチシェードへの道
1月 15, 2026
40代のホワイトニング
,
オフィスホワイトニング
,
ホワイトニング
,
ホームホワイトニング
,
症例
ブログ
40代女性が医療ホワイトニングでブリーチシェードBL3を達成
1月 15, 2026
オフィスホワイトニング
,
ホワイトニング
,
ホームホワイトニング
,
症例
1
2
次のページ
→