








施術後は、数日から1週間ほどかけて色が沈着していた表層の歯ぐきが自然に剥がれ、その下から健康的なピンク色の歯ぐきが現れます。剥がれ落ちるまでの間、一時的に歯ぐきが白っぽく見えることがありますが、経過の一部であり心配はありません。
歯ぐきの色味や黒ずみの範囲には個人差があるため、1回で変化を感じられる場合もあれば、状態によっては複数回の施術が必要となることもあります。軽度の色素沈着であれば1回で整うケースもありますが、濃い黒ずみがある場合には、回数を重ねることでより自然な状態へと近づけていきます。
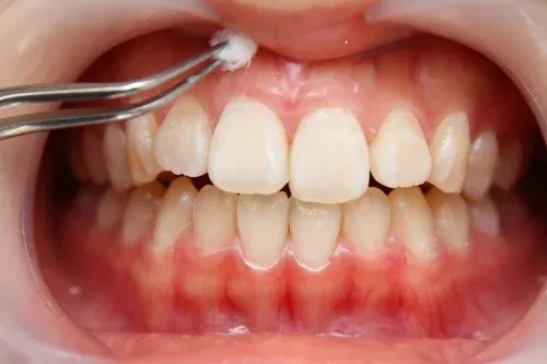
感じ方には個人差がありますが、施術中に軽いピリピリ感や刺激を覚える場合があります。ただし、強い痛みを伴うものではなく、麻酔を使用せず短時間で終了する施術のため、多くの方が安心して受けられています。
安全面を考慮し、妊娠中・授乳中の方、重度の歯周病がある方、特定のアレルギーをお持ちの方には施術を控えていただいています。また、歯科金属の影響によって生じた歯ぐきの黒ずみについては、ピーリングでは改善が難しい場合があります。施術の可否については、事前に状態を確認したうえでご案内いたしますので、ご不安な点があればお気軽にご相談ください。
はい、ホワイトニングと歯ぐきピーリングを組み合わせて受けていただくことが可能です。歯と歯ぐきの両方をケアすることで、口元全体の印象がより明るく、清潔感のある仕上がりを目指せます。施術の組み合わせや順番については、カウンセリング時に状態を確認しながらご案内いたしますので、安心してご相談ください。

