名古屋のホワイトニング症例

ホワイトニングサロンBeaute名古屋デンタルクリニック

ホワイトニング症例

名古屋・新栄町で医療ホワイトニングをお考えの方へ、
ホワイトニングサロンBeauteでの実際の症例と施術経過をご覧いただけます。

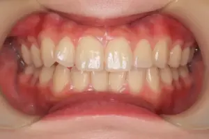
主訴
矯正治療終了後、歯並びが整ったことをきっかけに「次は歯の色を整えたい」と感じ来院。職場の方がホワイトニングを受けていたことも後押しとなり、SNSで見つけたBeauteの症例を見てご相談くださいました。

施術内容
パーフェクト美白プラン(3ヶ月/税込154,000円)
・オフィスホワイトニング 6回
・プロフェッショナルクリーニング 1回
・オーダーメイドマウスピース(上下)+ホームホワイトニングジェル(3ヶ月分)
・NBベリーホワイト/トゥースペースト

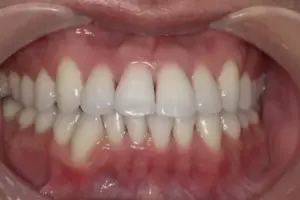
シェード変化
・右下3番:A4 → BL4
・右上1番:A3 → BL1

コメント
初回の施術後から白さの変化を実感され、その後もホームホワイトニングを日常のルーティンとして継続。お仕事でお忙しい中でも無理なくケアを続けられ、回数を重ねるごとに歯のトーンが安定していきました。最終的にはブリーチシェードに近い明るさまで到達し、仕上がりにも大変ご満足いただけました。

主訴
20代後半の男性。ご友人がボーテのInstagramで紹介していたホワイトニングの投稿を見たことをきっかけに来院。自然さを保ちつつも清潔感のある印象を目指し、BL3前後の白さを目標にホワイトニングをご希望されました。

施術内容
パーフェクト美白プラン(3ヶ月/税込154,000円)
・オフィスホワイトニング 6回
・プロフェッショナルクリーニング 1回
・オーダーメイドマウスピース(上下)+ホームホワイトニングジェル(3ヶ月分/濃度調整あり)
・NBベリーホワイト/NBトゥースペースト

シェード変化
・右下3番:B4 → BL3
・右上1番:B3 → BL2
※初期は低濃度(10%)からスタートし、歯の反応を確認しながら最終的に22%まで段階的に調整。オフィスホワイトニングとホームケアを併用することで、目標としていたシェードに到達しました。

コメント
口呼吸の影響により着色が付きやすい傾向が見られたため、ホワイトニングと並行して定期的なクリーニングを実施。施術途中で一時的に知覚過敏が出た時期もありましたが、トゥースペーストの併用により症状は落ち着きました。現在は週1回のホームホワイトニングと、約2ヶ月に1回のオフィス施術を継続し、白さを安定して維持されています。

主訴
20代の女性。「とにかく歯を真っ白にしたい」という明確なご希望をお持ちで来院されました。全体的な黄ばみが気になっており、ブリーチシェードに近い白さを目標にホワイトニングをご検討されていました。

施術内容
パーフェクト美白プラン(3ヶ月/税込154,000円)
・オフィスホワイトニング 6回
・プロフェッショナルクリーニング 1回
・オーダーメイドマウスピース(上下)+ホームホワイトニングジェル(3ヶ月分/段階的な濃度調整あり)
・NBベリーホワイト/NBトゥースペースト

施術経過・シェード変化
歯の状態を確認しながら、ホームホワイトニングの薬剤濃度を段階的に調整。オフィスホワイトニングは2〜3週間ごとに行い、ご自宅では就寝前のホームケアを継続されました。回数を重ねるごとにトーンが安定し、最終的には透明感のある明るい白さへと変化しました。

コメント
初回カウンセリング時には「本当にここまで白くなるのか不安」とお話しされていましたが、施術ごとに変化を実感され、前向きにホワイトニングへ取り組まれていました。生活リズムに合わせた無理のないプランをご提案することで、負担なく3ヶ月間継続。仕上がりにも大変ご満足いただき、現在は定期的なメンテナンスを続けられています。「笑顔に自信が持てるようになった」とのお声もいただきました。

主訴
20代の男性。清潔感や印象を重視されており、「可能な限り白さを高めたい」とのご希望で来院されました。初診時の歯の色は右上1番がC2、右下3番がB3で、BL3前後の白さを目標に設定しました。

施術内容
プラチナ美白プラン(243,100円・税込)
・オフィスホワイトニング 9回
・プロフェッショナルクリーニング 4回
・オーダーメイドマウスピース(上下)
・ホームホワイトニングジェル(90日分/段階的濃度調整)
・NBベリーホワイト/NBトゥースペースト

シェード変化
・右上1番:C2 → BL3
・右下3番:B3 → BL4
※歯の反応を確認しながら、ホームホワイトニングの薬剤濃度を10%から開始し、16%、22%へと段階的に調整。オフィスホワイトニングとホームケアを組み合わせることで、目標としていた白さに到達しました。

コメント
セルフケアへの意識が高く、コーヒーを日常的に飲まれているにも関わらず、色戻りはほとんど見られませんでした。2〜3週間ごとのオフィス施術とホームホワイトニングの併用が効果的に作用し、白さが安定。現在も22%のホームケアと、約3ヶ月ごとのクリーニングを継続され、美しい白さを維持されています。

主訴
20代女性。身近な人の影響でホワイトニングに興味を持ち、来院されました。初診時の歯の色は右上1番がB3、右下3番がA4で、透明感のある明るい白さ(020〜030)を目標に設定しました。

施術内容
パーフェクト美白プラン(3ヶ月/169,400円・税込)
・オフィスホワイトニング 6回
・プロフェッショナルクリーニング 1回
・オーダーメイドマウスピース(上下)
・ホームホワイトニングジェル(90日分)
・NBベリーホワイト/NBトゥースペースト

シェード変化
・右上1番:B3 → 030
・右下3番:A4 → B1
※ホームケアの実施に多少のばらつきはありましたが、定期的なオフィスホワイトニングを継続することで、上顎は目標としていた白さに到達しました。

コメント
初診時は歯周病傾向がみられ、ステインの付着も強かったため、ホワイトニング前に基本的な口腔ケアやブラッシング指導から開始しました。生活リズムに合わせて就寝前のホームケアを提案することで、無理なく継続できる環境を整備。現在は下顎のさらなるトーンアップを目指し、定期的なクリーニングとオフィスホワイトニングを継続されています。

主訴
30代女性。年齢による歯の黄ばみと、コーヒーを日常的に飲むことによる着色が気になり来院されました。全体的に歯の色が沈んで見え、明るさの回復を希望されていました。

施術内容
パーフェクト美白プラン(3ヶ月/169,400円・税込)
・オフィスホワイトニング 6回
・プロフェッショナルクリーニング 1回
・オーダーメイドマウスピース(上下)
・ホームホワイトニングジェル 90日分
・NBベリーホワイト/NBトゥースペースト

シェード変化
・段階的にホワイトニングを進行
・ホームケアを併用しながら、全体の黄ばみを改善
・コーヒーの摂取を継続しながらも、自然で清潔感のある白さに到達
・現在も色調が安定しており、白さを維持できている状態

コメント
年齢による黄ばみや生活習慣由来の着色に対して、無理な制限を設けず、生活スタイルに合わせたホワイトニング計画を立てました。コーヒーを控えることなく施術を継続できたことで、ストレスなく白さを高めることができました。今後も定期的なクリーニングとホームケアを続けることで、現在の白さを長く維持していく予定です。

治療内容:
医療用ホワイトニング剤を歯に塗布し、LEDライトを照射することで、歯の内部に働きかけながら白さを引き出します。
しみに配慮した処方と施術工程により、負担を抑えたホワイトニングを行っています。
費用(税込)
・ボーテ式医療ホワイトニング(約60分)15,400円
・ホームホワイトニング(約10日分)31,900円
リスク・副作用
施術後に一時的な知覚過敏症状(しみる感覚)が出る場合がありますが、名古屋デンタルクリニックでは、しみを抑えるための成分配合やアフターケアを取り入れ、できる限り軽減できるよう配慮しています。

効果的に歯を白くする方法は?

本当に歯を
白くしたい方へ

短期間でしっかりと歯の白さを高めたい場合、オフィスホワイトニングとホームホワイトニングを組み合わせて行う「デュアルホワイトニング」が効果的とされています。

実際に、当院でブリーチシェードを目指される方の多くが、デュアルホワイトニングを選択されています。

単発で数回オフィスホワイトニングを行うよりも、期間と回数を定めて集中的に取り組むことで、より安定した美しい白さを実感しやすくなります。

歯の状態や目指す白さによって
適した方法は異なりますので、
まずはお気軽にご相談ください。

オフィスホワイトニング
ホームホワイトニング
デュアルホワイトニング
01

オフィス
ホワイトニング

歯科医院で行う医療ホワイトニングです。
歯科専用の薬剤を歯の表面に塗布し、LEDライトを照射することで、歯の内部に働きかけ、白さを引き出していきます。
短期間で変化を実感したい方や、まずは歯科医院での施術から始めたい方に選ばれています。

02

ホームホワイトニング

ご自宅で行うホワイトニング方法です。
オーダーメイドのマウスピースを使用し、ご自身のライフスタイルに合わせて無理なく続けていただけます。
時間をかけて白さを定着させたい方や、色戻りを抑えたい方に適した方法です。

03

デュアル
ホワイトニング

オフィスホワイトニングとホームホワイトニングを組み合わせて行う方法です。
歯科医院での施術による即効性と、ご自宅でのケアによる白さの持続性を両立できるため、ブリーチシェードを目指したい方や、より美しい白さを求める方に多く選ばれています。

効果的に歯を白くする方法は?

本当に歯を
白くしたい方へ

短期間でしっかりと歯の白さを高めたい場合、オフィスホワイトニングとホームホワイトニングを組み合わせて行う「デュアルホワイトニング」が効果的とされています。

実際に、当院でブリーチシェードを目指される方の多くが、デュアルホワイトニングを選択されています。

単発で数回オフィスホワイトニングを行うよりも、期間と回数を定めて集中的に取り組むことで、より安定した美しい白さを実感しやすくなります。

歯の状態や目指す白さによって
適した方法は異なりますので、
まずはお気軽にご相談ください。

歯を白くするホワイトニング
01

オフィスホワイトニング

歯科医院で行う医療ホワイトニングです。
歯科専用の薬剤を歯の表面に塗布し、LEDライトを照射することで、歯の内部に働きかけ、白さを引き出していきます。
短期間で変化を実感したい方や、まずは歯科医院での施術から始めたい方に選ばれています。

ホームホワイトニング
02

ホームホワイトニング

ご自宅で行うホワイトニング方法です。
オーダーメイドのマウスピースを使用し、ご自身のライフスタイルに合わせて無理なく続けていただけます。
時間をかけて白さを定着させたい方や、色戻りを抑えたい方に適した方法です。

デュアルホワイトニング
03

デュアルホワイトニング

オフィスホワイトニングとホームホワイトニングを組み合わせて行う方法です。
歯科医院での施術による即効性と、ご自宅でのケアによる白さの持続性を両立できるため、ブリーチシェードを目指したい方や、より美しい白さを求める方に多く選ばれています。

名古屋・新栄町で
本気で歯を白くしたい方へ

東山線「新栄町」駅 徒歩4分
医療ホワイトニング専門のBeauteにおまかせください。

歯を白くしたい方へ
歯を白くしたい方へ

名古屋・新栄町で
本気で歯を白くしたい方へ

東山線「新栄町」駅 徒歩4分
医療ホワイトニング専門のBeauteにおまかせください。