症例
2025-6-13
初回:10%のホームホワイトニングを毎日1週間 → 16%に移行
・1回目オフィスホワイトニング
右上1:D2 → A1
右下3:D4 → C1
・3回目オフィスホワイトニング(22%を毎日2時間)
右上1:B2 → BL4
右下3:A2 → A1
・6回目オフィスホワイトニング(35%を毎日1.5〜2時間)
右上1:BL4 → BL3
右下3:A1 → BL4
現在:ホームホワイトニング(35%)を週3回継続、ホワイトニングペン併用中
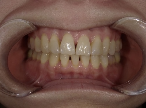
お子様のひと言がきっかけに。40代女性が理想の白さと習慣を手に入れたホワイトニング体験
お客様情報
40代女性 ホワイトニングにずっと興味を持っていて、お子様からの一言がきっかけでご来院。 初診時シェード:右上1 D4、右下3 A4 目標シェード:BL3施術内容
パーフェクト美白プラン(税込169,400円) ・オフィスホワイトニング6回 ・クリーニング1回 ・マウスピース ・ホームジェル5日分×18本 ・NBベリーホワイト ・NBトゥースペーストシェードの変化
- 施術前
- 施術後










