症例
2025-3-21
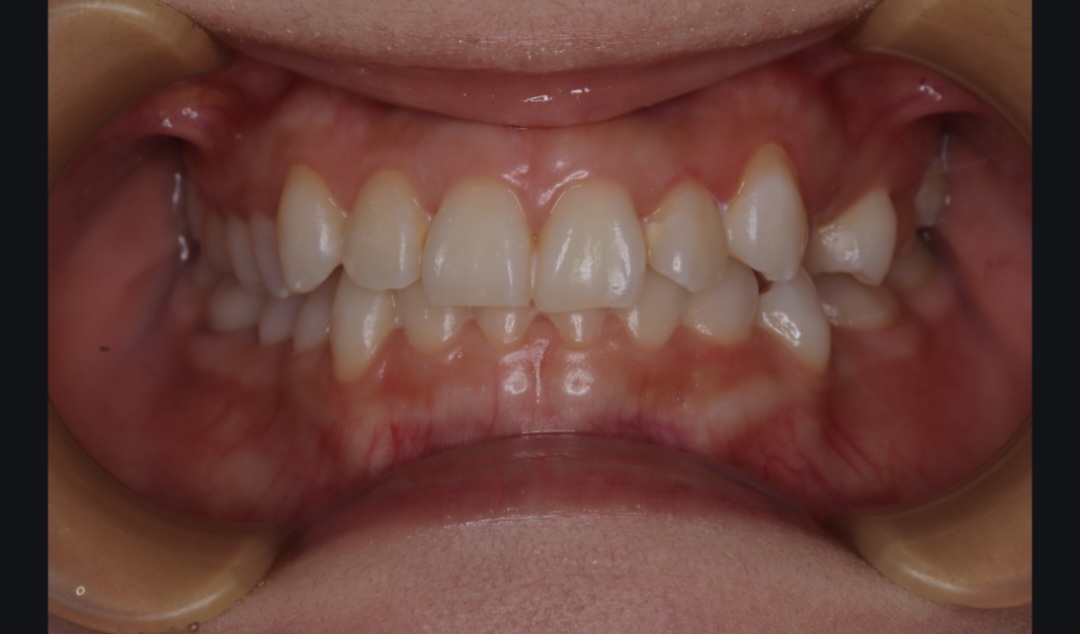
初診
右上1:B3、右下3:C3
コース導入のを検討
目標シェード設定:040
初期
ホームホワイトニング10%を毎日2時間実施
5回目
右上1:040、右下3:B2
ホームホワイトニング22%を週2〜3日実施
7回目
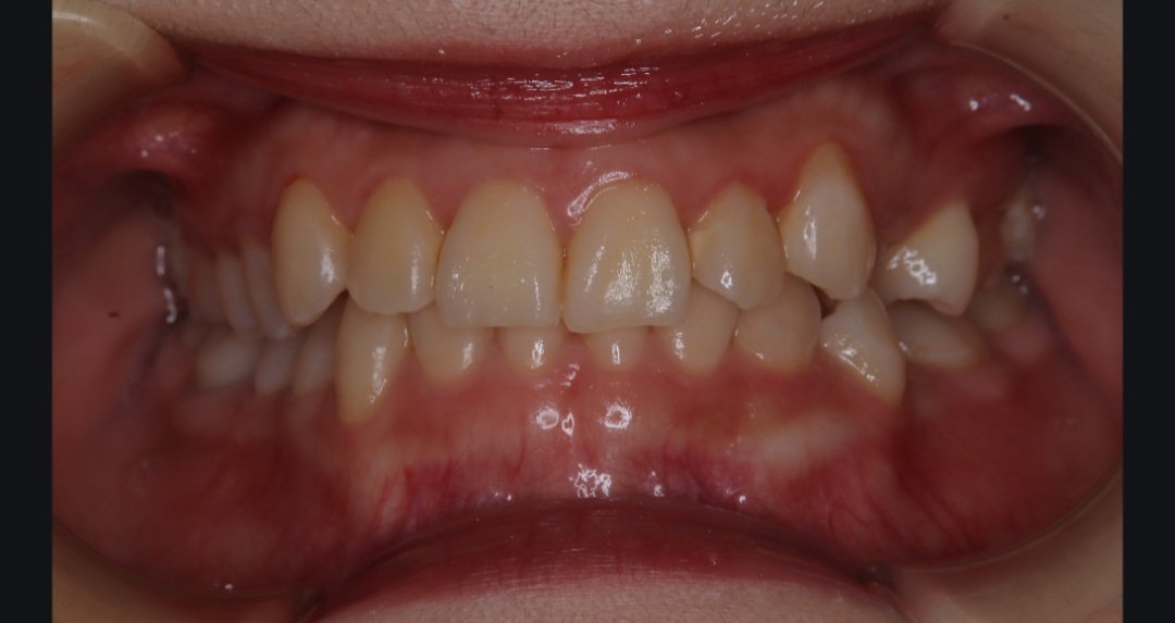
右上1:040、右下3:A1
ホームホワイトニング22%を週4日で継続
目標シェード達成
ホワイトニングで理想の白さへ!20代女性の事例
お客様情報
20番目の女性 初診時シェード:右上1 B3、右下3 C3 目標シェード:040施術内容
パーフェクト美白プラン(3ヶ月分)(税込¥169,400) オフィスホワイトニング7回分 クリーニング(スタンダードケア)1回分 マウスピーストレー上下・付属品 ホテル 5日分×18本 NBベリーホワイト1本 NBトゥースペース1本経過記録
- 施術前
- 施術後










