症例
2025-4-11
初回:
・10%ホームホワイトニングを毎日実施し、順調に16%へ濃度アップ
・右上1・右下3ともにシェードアップを確認
その後:
・35%ホームホワイトニング(毎日1時間)を継続し、さらなるシェードアップ
・LEDライト併用(30分)により、目標シェードに到達
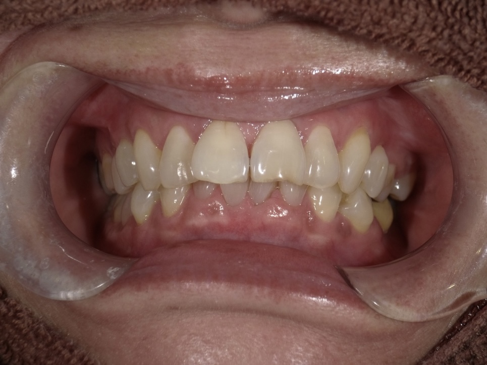
60代女性が叶えた自然な白さ|毎日のホームケアで美しさと健康を両立
お客様情報
60代女性 ホワイトニングに以前から興味があり、ついに決断。 お口元の美しさをさらに向上させたいというご希望。 初診時シェード: ・右上1:B3 ・右下3:C3 目標シェード:BL4施術内容
パーフェクト美白プラン(税込169,400円) ・オフィスホワイトニング6回経過記録
- 施術前
- 施術後










