症例
2025-1-8
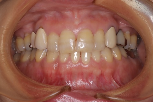
初診時シェード 右上1D3 右下3A4
目標040
4回目のオフィスホワイトニングでは、右上1 B2 右下3 C1
ホームホワイトニング16%毎日1時間半〜2時間を行っていた。
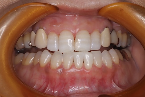
6回目のオフィスホワイトニング時には、右上1B4 右下3 A1
ホームホワイトニング22%毎日行っていた。
美白を目指した50代女性のホワイトニング経過と成果
お客様情報
50代女性 バンディング歯のお客様。 初診時シェード 右上1D3 右下3A4 目標シェードは040の歯の白さになりたいと来院された。施術内容
パーフェクト美白プラン(3ヶ月分)(税込129,800円) ・オフィスホワイトニング6回分 ・クリーニング(スタンダードケア)1回分 ・マウスピーストレー上下・付属品 ・ホームジェル5日分✕18本 ・NBベリーホワイト1本 ・NBトゥースペースト1本シェード変化
- 施術前
- 施術後










