症例
2025-3-27
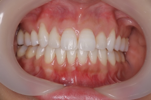
3回目のオフィスホワイトニング時
・右上1:040
・左下3:A1
ホームホワイトニング10%と16%併用
オーバーナイト方式(約6時間)
8回目のオフィスホワイトニング時
・右上1:030
・左下3:B1
ホームホワイトニング10%に変更
週2〜3回、オーバーナイト
歯列矯正後の美白ケア|知覚過敏を乗り越えたホワイトニング経過
お客様情報
30代女性 2年前に歯列矯正を終了 初診時シェード:右上1 C1、左下3 B3 目標シェード:020 知覚過敏が心配施術内容
パーフェクト美白プラン(3ヶ月分)+スペシャルオフィスホワイトニング半額クーポン(合計186,450円) ・オフィスホワイトニング 7回 ・スペシャルオフィスホワイトニング 1回 ・クリーニング 1回 ・マウスピーストレー上下・付属品 ・ホームジェル5日分×18本 ・NBベリーホワイト 1本 ・NBトゥースペースト 1本経過記録
- 施術前
- 施術後










