症例
2024-12-14
30代女性のホワイトニング症例
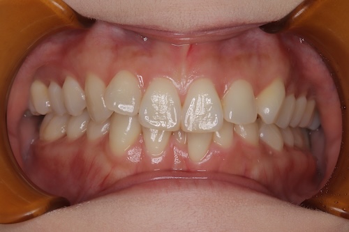
30代女性、歯の黄ばみが気になり来院
1回目のオフィスホワイトニング で右上1(C1→D2)右下3(D3→C2)2、3段階上がった。次回までにホームホワイトニングをしっかりしてきていただくよう説明。
2回目のオフィスホワイトニング で右上1(A1→BL4)右下3(C1→B2)2、3段階上がった。ホームホワイトニングは毎日しているおかげで、かなり白く上がっている。
3回目のオフィスホワイトニング で停滞期に入りシェードは変化なし。ホームジェルの濃度を10%から16%、22%に上げて、就寝中装着する時は16%、日中は22%を使用していただくように提案。
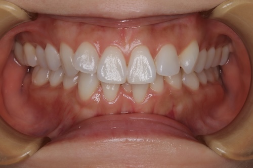
4回目のオフィスホワイトニングで右上1(BL4→BL3)右下3(B2→B1)前回よりさらに2段階ずつ上がった。本人も満足している様子。下はまだ白くしたいのでホームホワイトニングを毎日継続していくとのこと。上はメンテナンスでたまにやっていただく。
施術内容
ナチュラル美白プラン2ヶ月 税込124,300円 ・オフィスホワイトニング4回分 ・クリーニング (スタンダードケア)1回分 ・マウスピーストレー上下・付属品 ・ホームジェル5日分x12本 ・NBベリーホワイト1本 ・NBトゥースペート1本シェードの変化
- 施術前
- 施術後










