症例
2025-1-17
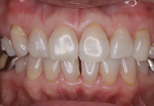
初診時:
ナンバー1:A2
番号3:A3
2回目の来院(1ヶ月半後):
右上1:A2→A1
右下3:A3→C2
ホームホワイトニング10%×4本・16%×2本を週4日、1時間程度実施
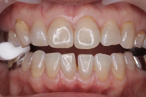
オフィスホワイトニング後:
右上1:A1→BL4
右下3:C2→A2
22%・35%の使用への移行予定
60代女性の挑戦!知覚アレルギーを乗り越えたホワイトニング成功事例
お客様情報
60代女性初診時のシェード:右上1 A2、右下3ターゲットシェード:BL4来院動機:白くしたい希望特記事項: 美意識・健康観が高い 知覚アレルギーあり(しみ止め入り磨剤使用中) 長時間の開口で過呼吸の既往がある(注意)施術内容
ナチュラルホワイトプラコ(税込¥124,300) オフィスホワイトニング4回 クリーニング1回 マウスピース 付属品(洗浄剤)) ホームジェル5日分×12本 NBベリーホワイト NBトゥースペーストシェード変化の経過
- 施術前
- 施術後










