症例
2025-4-22
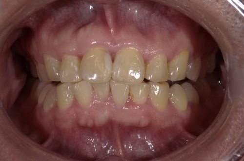
・ホームホワイトニング:10%で毎日1.5〜2時間実施
・4回目オフィスホワイトニング:
右下3番:B1/右上1番:A1(16〜22%で毎日1.5〜2時間)
・最終結果:
右下3番:030/右上1番:030(22%で毎日1時間)
中国ご帰国前に理想の白さへ!40代男性の短期集中ホワイトニング成功事例
お客様情報
40代後半 男性(中国籍) 以前からホワイトニングに興味があり、時間に余裕ができたタイミングで来院。 中国へ帰国する前にできるだけ白くしたいというご希望あり。 初診時シェード: ・右下3番:B3 ・右上1番:D2施術内容
パーフェクト美白プラン(3ヶ月)(税込168,300円) ・オフィスホワイトニング6回 ・クリーニング(スタンダードケア1回) ・マウスピーストレー上下、付属品 ・ホームジェル5日分×18本 ・NBベリーホワイト1本 ・NBトゥースペースト1本経過記録
- 施術前
- 施術後










