症例
2025-5-16
1回目来店:ホームトレー型取り、クリーニング
2回目来店:マウスピースお渡し、ホワイトニング
右上1:C1→B2/右下3:D3→D4(オフィスでの色上がり良好)
3回目来店:ホワイトニング
右上1:B1→BL4/右下3:B2→B1
ホーム連日できており、一気にシェードアップ
4回目来店:ホワイトニング
右上1:BL4キープ/右下3:B1キープ
ホーム回数が少なくなっており、歯石が付きやすいため次々回クリーニングを提案
6回目来店:ホワイトニング、クリーニング
右上1:BL4→B3/右下3:BL4キープ
クリーニング後にホワイトニングを実施しトーンアップ
7回目来店:ホワイトニング
右上1:BL3→BL2/右下3:BL4→BL3
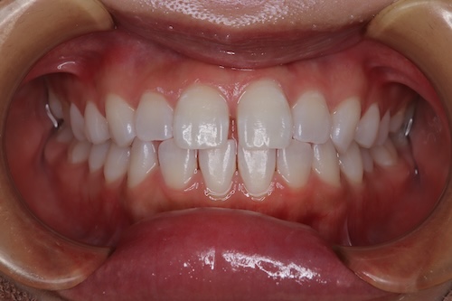
白さに満足いただき、今後は3ヶ月ごとのクリーニングとホワイトニングでメンテナンス予定
イベント前に理想の白さへ!20代女性の短期集中ホワイトニング成功例
お客様情報
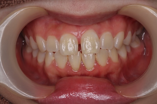
20代女性 イベント前に歯を白くしたいという目的でご来院。 初診時シェード:右上1 C2/右下3 B3 目標シェード:BL3施術内容
パーフェクト美白プラン(税込169,400円) ・オフィスホワイトニング7回 ・クリーニング1回 ・マウスピーストレー上下・付属品 ・ホームジェル5日分×18本 ・ベリーホワイト1本 ・トゥースペースト1本経過記録
- 施術前
- 施術後










