症例
2024-10-15
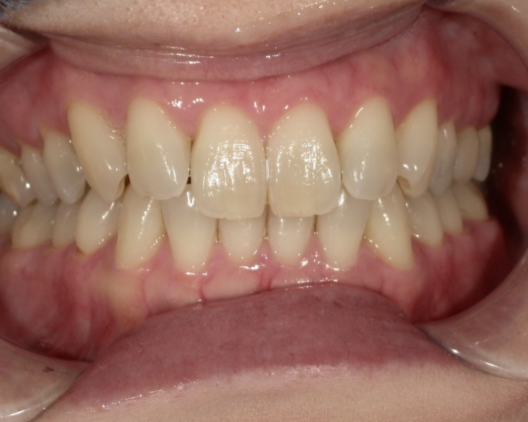
歯の黄ばみが気になりご来院された20代女性
鏡を見た時にご自身で黄ばみが気になり来院
20代後半女性
初回カウンセリングとオフィスホワイトニング、マウスピースの型取りで対応
2回目来院後からホームホワイトニングスタートし
10%.16%と濃度を上げて週に4回ずつ継続
3回目には
初回上前A3からB2までトーンアップ
ご自身でも色上がりの実感が出てきた
4回目からブリーチシェード到達が見え始め
ホームジェルの濃度を22%に上げて対応
NBトゥースペーストを塗布した状態でホームホワイトニングを行うことで
濃度を上げても
痛みなく継続して頂けた。
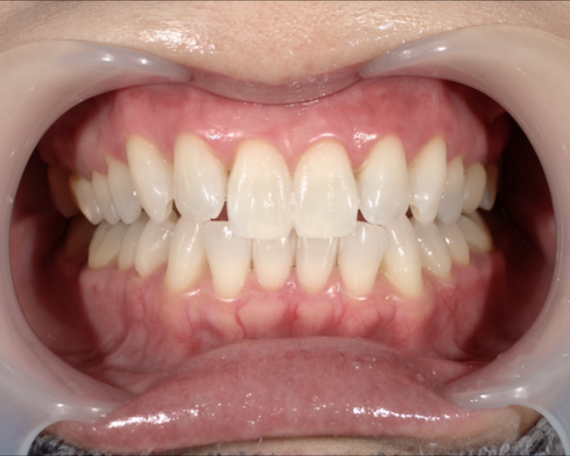
最終時
上前A3→BL3
右下犬歯B4→BL4までトーンアップ
施術内容
パーフェクト美白プラン(3ヶ月分) 税込168,300円 オフィスホワイトニング6回 ホームホワイトニング3ヶ月分 マウスピース very white1本 NBトゥースペースト1本シェードの変化
- 施術前
- 施術後










