20代女性 職場の先輩がホワイトニングをしており、ご自身もしたくなった。
施術内容
ナチュラル美白プラン(2ヶ月)
(税込122,100円)
・オフィスホワイトニング4回分
・クリーニングスタンダードケア1回分
・マウスピーストレー上下・付属品
・ホームジェル5日分x12本
・NBベリーホワイト1本
・NBトゥースペースト1本
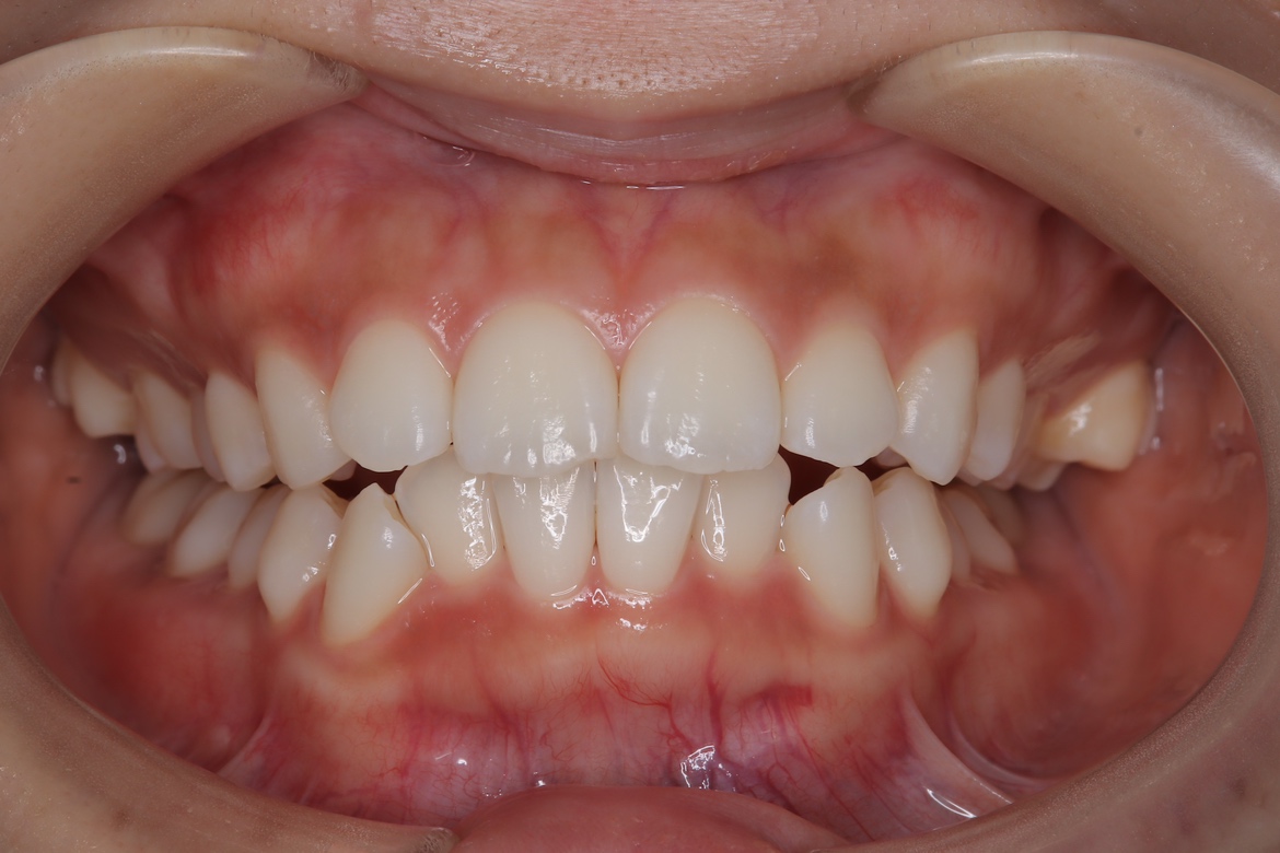
シェードの変化
初診シェード 左下3 A3.5 左下1 C1
目標シェードは040
2回目のオフィスホワイトニングでは、左下3 D4 左下1 A1
ホームホワイトニング3日して1日休んで1日やる。計4回できた。30~60分している。
4回目のオフィスホワイトニングでは、左下3 B1 左下1 040
週2回オーバーナイトでホームホワイトニングしている。
コメント
職場の先輩がホワイトニングしており、ホワイトニングをしたくなった。
ホームページも見て来てくださった。
週3回1時間のペースでホームホワイトニング頑張っている。
目標のシェードにたどり着いたがもっと白くしたくなったので今後もメンテナンスに通ってくださるそう。母より明るくなっていると言われ嬉しかったそうです。
ホワイトニングサロンBeaute目黒デンタルオフィス〒153-0064 東京都目黒区下目黒1丁目5−16
JR山手線目黒駅徒歩4分 木曜休
五反田、恵比寿、品川、東京全域からもお越しいただいています。










