ホワイトニング症例報告
東京 ホワイトニングサロンボーテ神田の症例報告先日口腔内写真のテストがあり、岡由美先生が遠くからお越しくださいました。
ボーテのメンバーはみんな岡先生のテストを合格しているそうです
口腔写真を撮る際の規定
口腔写真のテストに合格するために先輩からレクチャーを受けました。
私は元々口腔内写真撮る事は得意だと思っていましたが、とても細かい規定がありました。
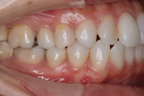
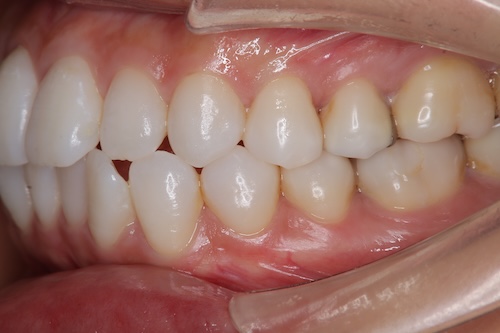
・側方は反対側1番が入るくらいまでで1番から6番の咬合面がしっかり映るように
・7番までうつるのが理想
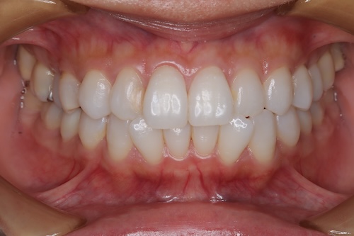
・全顎正面はフラットに映るように(湾曲しないよう気をつけて)
・咬合面は鏡の入れ方や角度を気をつける
・反対咬合面に固定すると安定する
などなど漠然と撮るだけではあまりわからず、先輩にチェックしてもらいフィードバックをいただきました。
他の先輩からもレクチャー、フィードバックを繰り返し頂き、練習を重ねました
テスト本番
そして本番岡先生のテスト
テストは15分で正面、咬合面2枚、側方2枚、3〜3上下2枚撮影し、時間の間は何枚でも撮影可能で、ある程度の感覚を掴みながら撮影しました。
15分経ち終了、私は選別5分以内でした
1度目の岡先生チェック
線を引いてどちらから撮影したらどう映るかをレクチャー感覚の事ですが、的確でとてもわかりやすいアドバイスをいただきました。
2回目の撮影も同じく15分、5分選定。
2度目の岡先生
「合格です‼️すごく練習したんですね!コツを伝えたら、すぐ理解してくれました素晴らしいです!」
と言っていただけました♪
岡先生の「合格です!」
という言葉がすごく嬉しくて
口腔内写真を撮る時はあの感覚を思い出しながら毎日撮影しています♡
〒101-0052 東京都千代田区神田小川町3丁目8番地 中北ビル2階
歯科医師 藏前尚子




