ホワイトニング症例報告
東京 ホワイトニングサロンボーテ神田の症例報告お客様情報
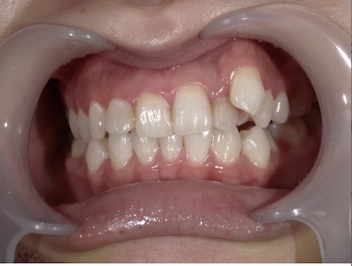
20代女性
初診時シェード:右上1 B3、右下3 C3
目標シェード:BL3
来院動機:デンタルIQは低めだが美意識が高く、口元の更なる改善を希望
施術内容
パーフェクト美白プラン(税込¥169,400)
オフィスホワイトニング6回
クリーニング1回
マウスピース
ホームジェル5日分×18本
NBベリーホワイト
NBトゥースペースト
シェード変化の経過
初回:
10%ホームホワイトニングを1週間毎日実施
その後16%に濃度アップ
1回目オフィスホワイトニング:
右上1:C1→B2
右下3:D3→C1
3回目オフィスホワイトニング:
右上1:B2→BL4
右下3:A2→B1
22%ホームホワイトニングを毎日2時間実施
6回目オフィスホワイトニング:
右上1:BL3→BL2
右下3:BL3→BL2
35%ホームホワイトニングを週3-4回、LEDライト併用で30分実施
メンテナンス:
3ヶ月ごとのクリーニング・ホワイトニング
ホームホワイトニング22%、35%を週1回程度継続
お客様の声
美意識が高く、ホームケアを毎日継続していただいたことで、白くなるスピードが早く進みました。途中、プラークコントロール不良で色の上がりにくい時期がありましたが、審美歯科を通じて意識づけができ、改善に至りました。
治療のポイント
効率的な濃度管理
ブリーチシェードまでは10~22%で黄ばみ除去
LEDライト併用で効率的な色調改善を実現
濃度アップ時のLEDライト活用で短時間での効果を促進
来院間隔の最適化
基本2週間間隔でのオフィスホワイトニング
色味停滞時は3週間間隔に調整してホームケアを強化
口腔衛生意識の向上
ホワイトニングを通じた口腔内への関心向上
ベリーホワイトでの継続的な口腔清掃確立
初回・最終回のクリーニングで最短での目標達成
メンテナンス計画
3ヶ月ごとのクリーニング+ホワイトニング
美容と健康を両立した長期的な管理体制の確立
〒101-0052 東京都千代田区神田小川町3丁目8番地 中北ビル2階
歯科医師 藏前尚子



