ホワイトニング症例報告
東京 ホワイトニングサロンボーテ神田の症例報告
お客様情報
30代女性
初診時シェード:右上1 C1、右下3 D4
目標シェード:030
来院動機:酵素ジュースによる着色、久しぶりのお口のケア希望(以前ホワイトニング経験あり)
施術内容
プラチナ美白プラン
オフィスホワイトニング9回
クリーニング(スタンダードケア)4回
マウスピーストレー上下、付属品
ホームジェル5日分×18本
NBベリーホワイト1本
NBトゥースペースト1本
シェード変化の経過
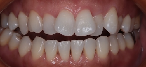
初診時:
右上1:C1
右下3:D4
多量の着色(歯間部、咬合面)、歯石を確認
クリーニングにより表面トーンが改善
3回目来店
メニュー:オフィスホワイトニング
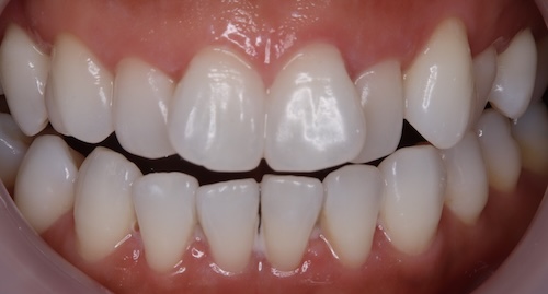
右上1:030(目標達成)
右下3:A1
ホームホワイトニングを毎日2時間実施
6回目来店
右下3:030(目標達成)
お客様の声
毎日真面目にホームホワイトニングを2時間実施していただき、オフィスホワイトニングの効果も高く、目標達成につながりました。3ヶ月ごとのメンテナンスを継続し、白さを維持されています。
治療のポイント
事前クリーニングの重要性
初診時のクリーニングにより、その後のホワイトニング効果を最大限に引き出すことができました
継続的なホームケア
3ヶ月間、毎日のホームホワイトニングを確実に実施
オフィスホワイトニングとの相乗効果で効率的に目標達成
メンテナンスの確立
3ヶ月ごとのクリーニングとオフィスホワイトニングで白さを維持
定期的なケアの習慣化に成功
〒101-0052 東京都千代田区神田小川町3丁目8番地 中北ビル2階
歯科医師 藏前尚子



