ホワイトニング症例報告
東京 ホワイトニングサロンボーテ神田の症例報告患者情報
年代:19歳女性
お悩み:カナダに留学中で、歯の黄ばみが気になっていた
施術内容
スペシャルホワイトニング(税込31,900円)
1回の施術で3回照射
ホワイトニング用歯磨剤「ベリーホワイト」
ホワイトニングペン&専用ライト
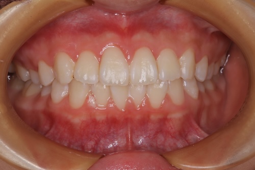
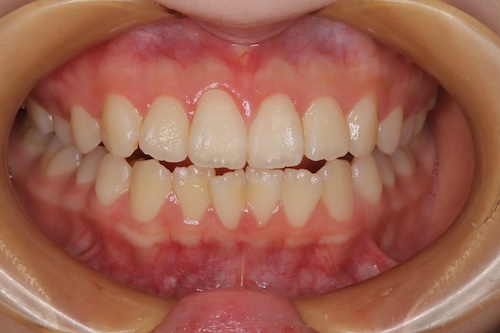
シェードの変化
初診時シェード 目標シェード
右上1:D3 030
右下3:A3.5 030
来店の経緯
初回カウンセリング
背景:お母様がボーテをご愛顧くださっており、娘様のために予約。留学先のカナダでは歯の美しさが重要視され、自分の見た目を気にされていた。
制約:来院翌週にはカナダに戻るため、頻繁な通院やマウスピース作成は難しい状況。
施術内容と効果
スペシャルホワイトニング施術
1回の施術で3回照射を行い、短期間で効果を実感。
購入アイテム
ホワイトニング用歯磨剤「ベリーホワイト」
歯磨きが得意でない方にも使いやすく、ホワイトニング効果の持続に最適。
ホワイトニングペン&専用ライト
簡単に使用できるアイテムで、留学先でも継続可能。
コメント
限られた時間の中でも、スペシャルホワイトニングとセルフケアアイテムの活用により、ご希望に沿った結果をお届けできました。
お客様には留学先のカナダでもホワイトニングケアを継続いただき、帰国時には再度施術を受ける計画を立てています。将来的には、本格的なホワイトニングコースをご提案予定です。
ボーテでは、一度の施術でも目に見える変化を提供できるため、若い方から年配の方、男性・女性問わず、多くの方に自信を持ってお勧めしています。
ホワイトニングサロンボーテ神田〒101-0052 東京都千代田区神田小川町3丁目8番地 中北ビル2階
歯科医師 藏前尚子



