ホワイトニング症例報告
東京 ホワイトニングサロンボーテ神田の症例報告お客様情報
30代男性
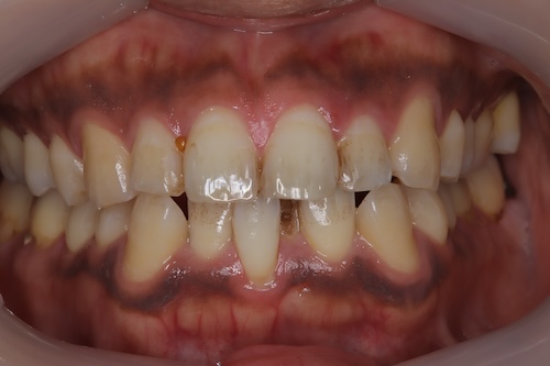
初診時シェード: 右上1 C3、右下3 A4
目標シェード: BL4
ご家族から勧められてご来店くださいました。
施術内容
旧3ヶ月コース(税込¥160,600)
オフィスホワイトニング7回
クリーニング1回
マウスピーストレー上下・付属品
ホームジェル5日分×18本
ベリーホワイト1本
トゥースペースト1本
シェード変化
初診時シェード: 右上1 C3、右下3 A4
目標: BL4
1回目来店
メニュー: ホームトレー型取り
2回目来店
メニュー: クリーニング、マウスピースお渡し
叢生のため着色がつきやすい。ベリーホワイトで毎日磨いていただきました。
3回目来店
メニュー: ホワイトニング
右上1 D4からC1
右下3 B3からA3
ホームホワイトニングを毎日行い、白さを実感していただいています。
4回目来店
メニュー: ホワイトニング
右上1 D2からA1
右下3 C2からA2
ホームホワイトニングをほぼ毎日実施。知覚過敏なし。10%濃度でもお色が上がっているので、このままの濃度で様子を見る。
5回目来店
メニュー: 追加クリーニングとホワイトニング
右上1 A1からB1
右下3 B2からA1
クリーニングは2〜3ヶ月で入れていく。
6回目来店
メニュー: ホワイトニング
右上1 B1キープ
右下3 A1キープ
ホームホワイトニングを連続で行うとしみる時があるため、ペースを落としながら進めました。
7回目来店
メニュー: クイッククリーニングとホワイトニング
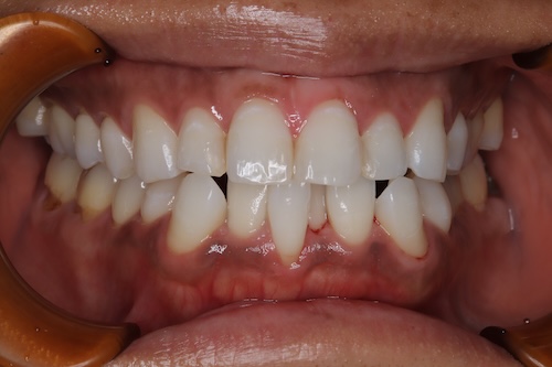
右上1 BL4キープ
右下3 A1キープ
部分的に歯石やステインがつきやすい。知覚過敏があるため、ホームジェルを別メーカーのものに変更して使用いただきました。
9回目来店
メニュー: クリーニング、ホワイトニング
右上1 BL4キープ
右下3 BL4キープ
シェードにご満足いただいたため、最後にガムピーリングを行いました。歯茎のお色もピンク色になることで、歯のお色がより明るく見えることを期待しています。今後は3ヶ月ごとのクリーニングとホワイトニング、ご自宅ではベリーホワイトとトゥースペーストでのケアを継続していただきます。
お客様の声
ホームホワイトニングをほぼ毎日行ってくださったので、スムーズに白くすることができました。途中、知覚過敏が出ましたが、薬剤のメーカーを変えたり、知覚過敏を抑えるケア商品の使用により、最後までホームホワイトニングを続けることができました。
ステインがつきやすい口腔内環境のため、今後もセルフケアとクリニックでのケアをしっかり継続していくことが大切です。ガムピーリングを行い歯肉の黒ずみを取ることで、歯のお色もさらにトーンアップして映るため、コースの最後にガムピーリングを行うのがおすすめです。
ホワイトニングサロンボーテ神田〒101-0052 東京都千代田区神田小川町3丁目8番地 中北ビル2階
歯科医師 藏前尚子



