ホワイトニング症例報告
東京 ホワイトニングサロンボーテ神田の症例報告20代女性
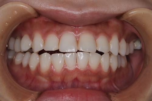
マスク生活が終わり、黄ばみ気になるようになった
施術内容
3ヶ月コース税込160600円
オフィスホワイトニング7回
クリーニング1回
マウスピーストレー上下・付属品
ホームジェル5日分×18本
歯磨剤1本
トゥースペースト1本
シェードの変化
初診時シェード
右上1 C2
右下3 A4
目標シェードBL3
マスク生活が終わり、黄ばみ気になるようになった
1回目来店
メニュー ホームトレー型取り
2回目来店
メニュー クリーニング、マウスピースお渡し
ホワイトニング
右上1C1からA2
右下3 A4からD3
カリエスリスク高いためクリーニング定期的に受けている。プラークコントロール良好
3回目来店
メニュー ホワイトニング
右上1A1からB1
右下3 B2からA1
ホームしっかりできていて、一気にシェード上がっていました。
4回目来店
メニュー ホワイトニング
右上1B1からBL4
右下3 A1からB1
ホームホワイトニングはほぼ毎日30分から1時間程度。痛みもないため、高濃度のジェルを使用する。
5回目来店
メニュー ホワイトニング
右上1BL4からBL3
右下3 B1からBL4
高濃度ジェルでも痛みなし。
ホームケアもしっかりしてくださり、ベリーホワイトとトゥースペーストも毎日使用。
7回目来店
メニュー ホワイトニング
右上1 BL3キープ
右下3 B1からBL4
シェードキープできていてご満足いただいた。今後オフィスやホームのペースをおとしていく。
9回目来店
メニュー ホワイトニング
右上1 BL3
右下3 B1
オフィスでもきれいにトーンアップしている。今後は3ヶ月ごとのメンテナンスへ移行
コメント
ホームホワイトニングや指定の歯磨き粉の使用を続けてくださったことや、知覚過敏もでなかったため、高濃度のジェルを使うことができたことにより、通常よりとても早く綺麗に白くすることが出来ました。今後もキープ頂くために、ホームケアと定期的なメンテナンスを継続していきます。
ホワイトニングサロンボーテ神田〒101-0052 東京都千代田区神田小川町3丁目8番地 中北ビル2階
歯科医師 藏前尚子



