ホワイトニング症例報告
東京 ホワイトニングサロンボーテ神田の症例報告40代男性 3年ぶりの歯科。明るく沢山お話してくださる。
施術内容
パーフェクト美白プラン(3ヶ月分)(税込169,400円)
・オフィスホワイトニング6回分
・クリーニング
(スタンダードケア)1回分
・マウスピーストレー上下・付属品
・ホームジェル5日分✕18本
・NBベリーホワイト1本
・NBトゥースペースト1本
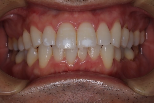
シェードの変化
初診時シェード 右上1 C3 右下3 C4
目標A1
4回目のオフィスホワイトニングでは、右上1 B1 右下3 A2
ホームホワイトニングは10%週2回を行っていた。
6回目のオフィスホワイトニング時には、右上1 B1 右下3 D2
ホームホワイトニング10%週22回を変わらず行っていた。
コメント
初診時、自然なお色でと目標はそこまで高くなかったが、しっかりデュアルホワイトニングを3ヶ月間され、目標に到達された。
前歯が少し染みるとのことでホームホワイトニングは10%で続けていただいた。
ホワイトスポットも以前より目立たなくなった。コースの中で定期的にクリーニングされ、お口の中への関心が高まり、すごく綺麗なお口の状態を保たれている。
今の色味をキープされたいとのこと。
今後はメンテナンスの必要性をお伝えしていく。
〒101-0052 東京都千代田区神田小川町3丁目8番地 中北ビル2階
歯科医師 藏前尚子



