ホワイトニング症例報告
東京 ホワイトニングサロンボーテ神田の症例報告お客様情報
20代女性
マスク生活終了後、歯の色が気になり始める
就活を控えており、清潔感を出したい希望あり
学業・バイト・就活に真面目に取り組む
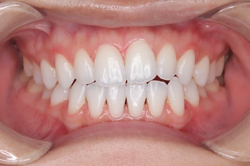
初診時シェード:右上1 A3、右下3 A3.5
目標シェード:BL03
施術内容
パーフェクト美白プラン(3ヶ月分)(税込¥168,300)
オフィスホワイトニング6回分
クリーニング(スタンダードケア)1回分
マウスピーストレー上下・付属品
ホームジェル5日分×18本
NBベリーホワイト1本
NBトゥースペースト1本
シェードの変化
初回
右上1:A2、右下3:A3
ホワイトニングは初めて
歯磨きは上手で口腔内は良好
色上がりよく白くなった
3回目
右上1:A1、右下3:C1
ホームホワイトニング10%夜寝る時使用
軽度の知覚過敏あり
4回目
右上1:BL04、右下3:B1
ホームホワイトニング10%使用中
知覚過敏改善
トゥースペースト使用により艶出現
5回目
右上1:BL03、右下3:BL03
ホームホワイトニング濃度を16%に上昇
オフィスホワイトニングの色上がり少し
6回目
右上1:BL04、右下3:BL04
16%使用中、知覚過敏あるもトゥースペーストで対応可能
白くなった実感あり
7回目
右上1:BL03、右下2:BL02
16%継続使用
メンテナンス用にホワイトニングペン導入決定
8回目(最終)
右上1:BL02、右下2:BL02
ホワイトニングペン購入
色上がり良好で満足
今後の管理計画
ホワイトニングペンによる月3〜7日のタッチアップ
3〜6ヶ月ごとのクリーニングとオフィスホワイトニング
定期的なメンテナンス継続
治療のポイント
目標シェード達成(BL03→BL02)
知覚過敏への適切な対応
継続的なホームケアの実施
段階的な濃度調整(10%→16%)
〒101-0052 東京都千代田区神田小川町3丁目8番地 中北ビル2階
歯科医師 藏前尚子



