ホワイトニング症例報告
東京 ホワイトニングサロンボーテ神田の症例報告お客様情報
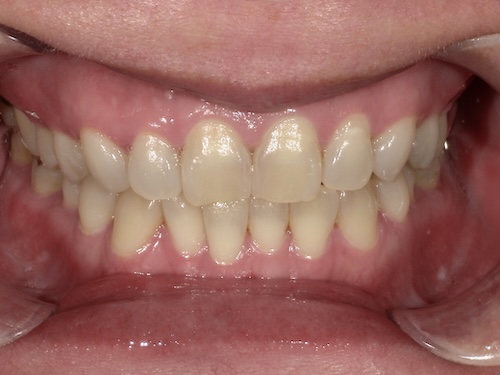
40代女性初診時シェード:右上1 B3、右下3 B4ターゲットシェード:BL1,2来院動機:黄ばみが気になり、第一印象が変わった。娘のセラミック治療に感銘を受けたが、歯を削らない方法を希望します。
施術内容
プラチナ美白プラン(年間)(税込¥243,100)
オフィスホワイトニング9回分
プロフェッショナルクリーニング4回分
ホームホワイトニングトレー上下・付属品
ホームジェル5日分×18本
NBベリーホワイト1本
NBトゥースペースト1本
シェード変化の経過
2回目のオフィスホワイトニング:
右上1:C2
番号3:D3
ホームトレーの不適合により再作成
3回目のオフィスホワイトニング:
ナンバー1:A1
番号3:A2
ホームホワイトニングを30分~2 毎日実施
5回目のオフィスホワイトニング:
右上1:BL4
右下3:D2
ジェルの22%を使用、知覚アレルギーなく順調に進行
8回目のオフィスホワイトニング:
モデル1:BL3
モデル3:BL4
35%ジェル移行、知覚アレルギーなし
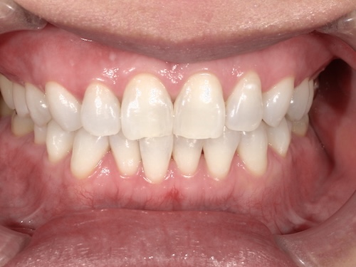
10回目のオフィスホワイトニング:
モデル1:BL2
モデル3:BL3
ブリーチシェードをキープ
ジェルの追加購入
お客様の声
10ヶ月かけて通院し、ほぼ休まず継続的にホワイトニングを実施します。ご自身では黄色みを感じることも、周囲から「す」という評価をいただいています。
治療のポイント
継続的なケアの実現
10ヶ月間の定期的な通院
ほぼ毎日のホームホワイトニング実施
コースの後半は3ヶ月間隔で来院
段階的な濃度管理
22%から35%まで徐々に濃度を上げる
知覚アレルギーのなし、安定した進行
長期的な効果の確立
継続的なホームケアに象牙質の漂白に成功
色戻りしにくい歯質への改善を実現
今後の管理方針
定期的なメンテナンスの継続を推奨する
達成した白さの維持を目指す
〒101-0052 東京都千代田区神田小川町3丁目8番地 中北ビル2階
歯科医師 藏前尚子



