ホワイトニング症例報告
東京 ホワイトニングサロンボーテ神田の症例報告お客様情報
20代女性
明るくお話が好きなお客様。
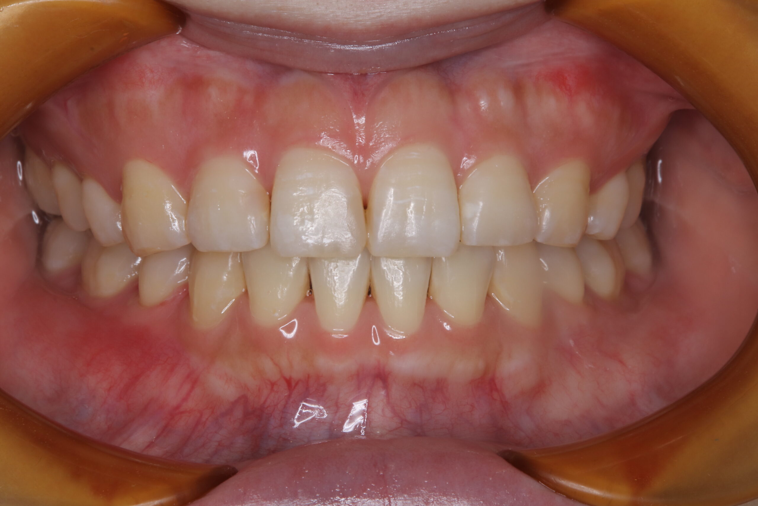
初診時シェード:
・左上1:D3
・左上3:B4
「030のような白さになりたい」とご希望されて来院。
施術内容
パーフェクト美白プラン(3ヶ月分)(税込168,300円)
・オフィスホワイトニング6回分
・クリーニング(スタンダードケア)1回分
・マウスピーストレー上下・付属品
・ホームジェル5日分✕18本
・NBベリーホワイト1本
・NBトゥースペースト1本
シェードの変化
初診時シェード:
・左上1:D3
・左上3:B4
目標シェード:030
4回目のオフィスホワイトニング時:
・左上1:040
・左上3:B1
ホームホワイトニングは10%と16%を使用し、毎日3時間実施。
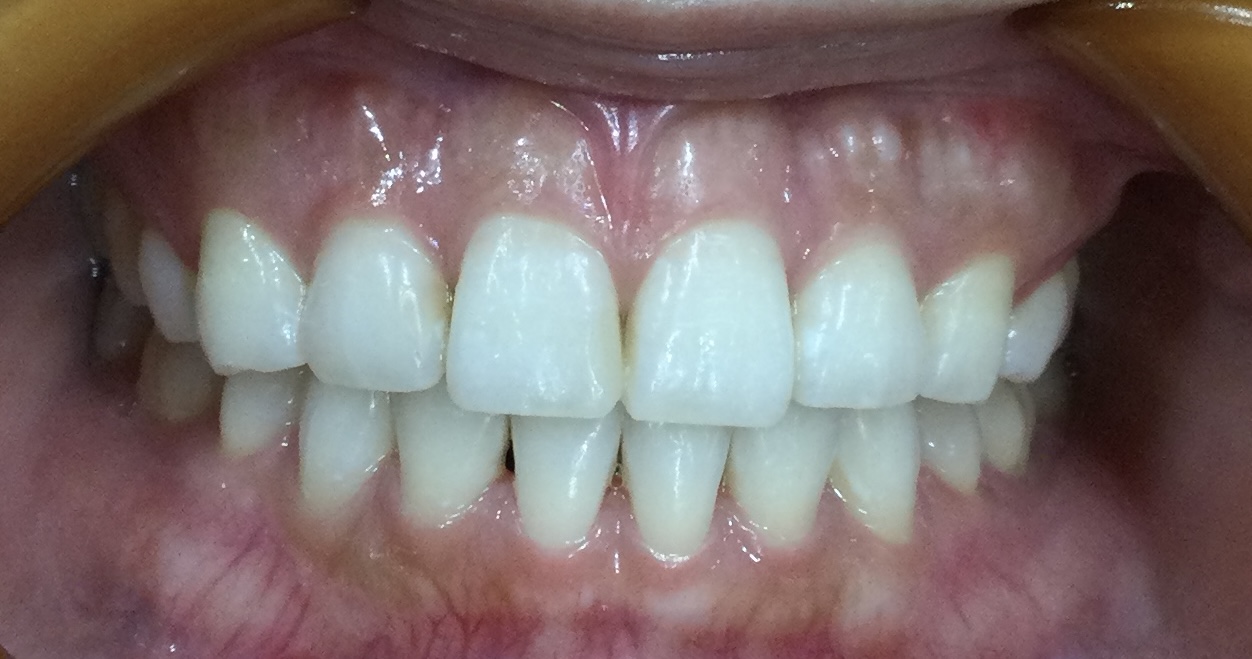
6回目のオフィスホワイトニング時:
・左上1:030
・左上3:040
この頃にはホームホワイトニングの頻度は減っていたが、目標シェードを達成。
最後の方はホームホワイトニングの頻度が減少したものの、目標シェードに達し、ご本人も大変喜ばれていた。
少し痛みが出た場面もあったが、ご自身で濃度を調整しながら継続され、最後までやりきった。
今後はメンテナンスの重要性をご案内し、定期的なケアへとつなげていく予定。
ホワイトニングサロンボーテ神田〒101-0052 東京都千代田区神田小川町3丁目8番地 中北ビル2階
歯科医師 藏前尚子



