ホワイトニング症例報告
東京 ホワイトニングサロンボーテ神田の症例報告30代女性
若干テトラサイクリンで前歯に縞模様があるお客様。初回カウンセリング時にホームホワイトニングしっかり行っていただく事、3ヶ月以上かかるかもしれないとお伝え。とても真面目でホワイトニングに関して積極的。口元の健康をとても大事にされています。
メンテナンスの重要性もお話しし、回数券購入。定期的に歯の白さとお口元の健康をサポートしていく。
施術内容
パーフェクト美白プラン(3ヶ月分)(168,300税込円)
・オフィスホワイトニング6回分
・クリーニング(スタンダードケア)1回分
・マウスピーストレー上下・付属品
・ホームジェル5日分x18本
・NBベリーホワイト1本
・NBトゥースペースト1本
シェードの変化
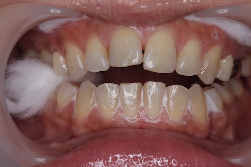
初診時シェード 右上1 C2 右下3 A4
目標 BL02
初回)オフィスホワイトニング 右上1 D2右下3 B4
下の色上がり若干。ホームホワイトニング始まると色上がり良くなる事お伝え
3 回目)オフィスホワイトニング 右上1 C1右下3 A3
ホームホワイトニング10%問題なく使えているので、16%に濃度上げてみる。
4回目)オフィスホワイトニング 右上1 BL04右下3 A1
ホームホワイトニング16%使用中。写真撮った時の口元印象が変わってきた!
5回目)オフィスホワイトニング 右上1 BL03右下3 BL04
ホームホワイトニング16%使用中。問題なく使えているので22%に上げてみる。唾液出やすいのが気になる。ホワイトニングライトを使用すれば時短になり唾液も気にならないかもと提案。検討する。
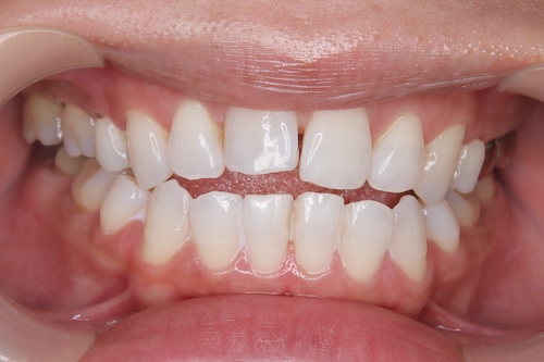
6回目) オフィスホワイトニング 右上1 BL02右下3 BL03
少し沁みてきたので一旦お休み。再開後は30分から徐々に時間長くしていく。下のマウスピース隙間空いてきているので作り直しする。次回1ヶ月空けてオフィスホワイトニングする。
7回目) オフィスホワイトニング 右上1 BL02右下2BL04
ホームホワイトニング22%使えた。下のグラデーションはまだ気になる。
8回目) オフィスホワイトニング 右上1 BL02 右下2 BL03
ホームホワイトニング22%変わらず長くするとしみてくるので16%で残りお渡し。ホームジェルはまだ残っているので使い切った後はホワイトニングペンでメンテナンスお話し。唾液気になる、時短としみを軽減させたいとの事でライト購入。
コメント
序盤からホームホワイトニングを一生懸命行っていたが途中知覚過敏の症状が出てしまいお休み期間があった。お休み中でも色戻ってしまうのではないかと不安もあったがトゥースペーストの使用方法、お休みしてもすぐに色は戻らない事お伝えし不安を解消した。途中ライト購入もしたので時間短縮しながら効率よくホームホワイトニングができた。メンテナンスもホワイトニングペンとライトを使っていただきタッチアップしていく。
今後はメンテナンス券購入したので健康と美しさのサポートを行っていく。
〒101-0052 東京都千代田区神田小川町3丁目8番地 中北ビル2階
歯科医師 藏前尚子



