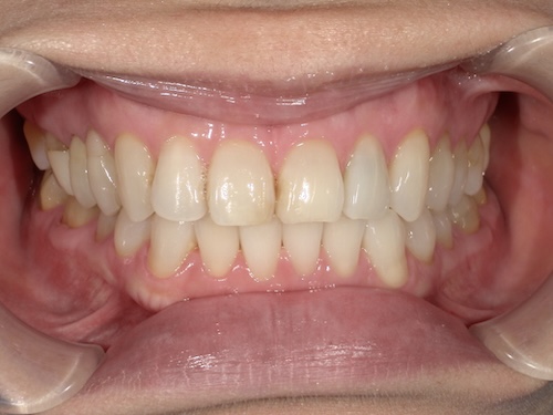
ホワイトニング症例報告
東京 ホワイトニングサロンボーテ神田の症例報告40代女性 以前ホワイトニング経験があり痛みが強かったためトラウマになってしまっていた。でもやはり黄ばみが気になると来院された。
施術内容
パーフェクト美白プラン(3ヶ月分)(税込169,400円)
・オフィスホワイトニング6回分
・クリーニング
(スタンダードケア)1回分
・マウスピーストレー上下・付属品
・ホームジェル5日分✕18本
・NBベリーホワイト1本
コメント
カウンセリング時に7〜8年前に受けたホワイトニングが痛すぎて、そのことが怖くてずっと敬遠してしまっていたと話されていました。
なるべく痛みが出ないように施術しますとお伝えし、コーティングをしっかりして施術。
お痛みなく施術を受けてくださいました。
「もっと早くくればよかった〜」と言われていました。
お家が近所で、できた時から実は知っていたそうです(笑)
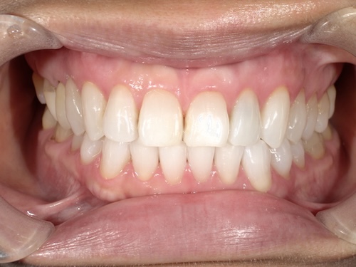
シェードの変化
ホームホワイトニングを始めていただき最初は少し沁みる時もあったがNBペーストを使うと良くなるとのことで、安心して2時間ホームホワイトニングができたそう。
ご来院3回目の時点で右上1 D2、右下3 A2までシェードアップしています。
5回目のご来院の時は、ホームホワイトニングジェルがなくなってしまうほどしっかりホームホワイトニングができたとのこと。
ほぼ毎日1時間半〜2時間は装着していたとおっしゃられていました。
ジェルの濃度は16%。沁みるのが怖くて心配されていた方がジェルの濃度をあげるくらいにまで歯質が強化されています。
NBペーストもコース分は全て使われて、再度購入してくださいました。
シェードは右上1 B1、右下3 D2まで上がりました。
6回目のご来院でブリーチシェードにまで到達しました。
右上1 BL3、右下3 BL4。ホームホワイトニング後は痛みが出るそうですが、NBペーストで治っているとのこと。さらに毎日使用していただき歯質を強化してもらうようにお伝えしています。
7回目のご来院ではさらにホームジェルの濃度を22%にまでアップ。
ホワイトニング後に痛みはあるのにもう白くしたい気持ちの方が勝っている。
旅行に行かれたりしていた時があり、ホームホワイトニングはサボってしまったとのことでしたが、全く問題ない範囲でした。
8回目のご来院(コースラスト)目標シェードに到達。
「もっと白くするにはどうしたらいいですか?」と質問があり、ホームホワイトニングを継続していただく事をおすすめしています。
メンテナンスはホワイトニング回数券で定期的に来ていただきキープしていきます。
〒101-0052 東京都千代田区神田小川町3丁目8番地 中北ビル2階
歯科医師 藏前尚子



