ホワイトニング症例報告
東京 ホワイトニングサロンボーテ神田の症例報告20代女性 矯正終わったのでホワイトニングしたいと来院
施術内容
パーフェクト美白プラン(3ヶ月分)(税込169,400)
・オフィスホワイトニング7回分
・クリーニング
(スタンダードケア)1回分
・マウスピーストレー上下・付属品
・ホームジェル5日分×13本
・NBベリーホワイト1本
・NBトゥースペースト1本
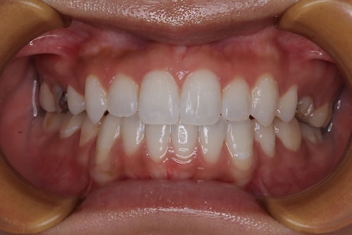
シェードの変化
初診時シェード 右上B3 右下3 A4
目標シェードは030
4回目のオフィスホワイトニングで、右上1 040 右下3 D2
ホームホワイトニング16%毎日していた。
7回目のオフィスホワイトニング時には右上1 020 右下3 030
ホームホワイトニング16%で3日連続使用して継続していた。
コメント
初回のカウンセリング時、矯正が終わったらホワイトニングしたいと思い来院され、デュアルホワイトニングをスタート!
毎日ホームホワイトニングを継続されており、早い段階で目標シェード達成し、その後はペースを週3日に減らしながらもけいぞくしたため、目標シェードよりも明るい020まで色をあげることができた!
〒101-0052 東京都千代田区神田小川町3丁目8番地 中北ビル2階
歯科医師 藏前尚子



