ホワイトニング症例報告
東京 ホワイトニングサロンボーテ神田の症例報告30代後半女性 約6年程前、2年間HW(ほぼ毎日2h毎)実施。
満足のいく白さまで行ったもののその後のメンテナンスを怠り色戻り気になり来院。
これから妊活を始める為、その前に白くしたく当院来訪。
施術内容
ナチュラルプラン(2ヶ月)
・オフィスホワイトニング4回分
・クリーニング(スタンダードケア1回分)
・マウスピーストレー上下・付属品
・ホームジェル5日分×12本
・NBベリーホワイト1本
・NBトゥースペースト1本
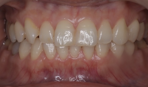
シェードの変化
初回時のシェード
右下3番→A2
右上1番→A1
10%毎日オーバーナイト
3回目のオフィスホワイトニング
右下3番→B2
右上1番→B1
16%毎日オーバーナイト
最終シェード
右下3番→040
右上1番→030
16%毎日オーバーナイト
コメント
歯茎の健康面に関しては、3ヶ月毎、かかりつけクリニックにて保険クリーニング実施。
虫歯、歯周病リスクは少ないが、若干の噛み締めリスクお伝えし、予防に努めていただくようお伝え。
ケアスキル良好だが、ブラシ圧懸念。
自分に合う歯ブラシ探し中との事で、ヘッドの変更時の注意点として、これまで使用のブラシヘッドより小さめになると圧が集中する為、注意促すと共にクラプロックスおすすめ。手用と音波で迷い中。
次のメンテナンス時に相談後、決定へ。
ホワイトニングに関しては、内部の黄ばみを抜く為にホームホワイトニングの継続を理解。
仕事が忙しく、装着困難な為、オーバーナイト希望。
6時間毎日の使用で、翌朝は少しスースーするも、トゥースペーストの使用で症状は治まる。
16%にホームジェル濃度アップした際には、トゥースペースト塗布しても症状継続が見られた為、ホームホワイトニング装着時、舌側にトゥースペースト塗布し唇側にホームジェル塗布する方法を提案し、実行していただくと、翌朝症状はなく、快適とお話くださった。
コンスタントにアポイント入れてくださり、1ヶ月半の月日でコース消化し、目標値到達に至った。
ホワイトニングサロンボーテ神田〒101-0052 東京都千代田区神田小川町3丁目8番地 中北ビル2階
歯科医師 藏前尚子



