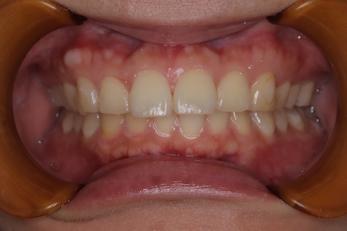
ホワイトニング症例報告
東京 ホワイトニングサロンボーテ神田の症例報告主訴2ヶ月後に挙式をするので、白くしたい
施術内容
ナチュラル美白プラン 税込122,100円
オフィスホワイトニング4回
クリーニング1回
マウスピーストレー上下・付属品
ホームジェル5日分×12本
NBベリーホワイト1本
NBトゥースペースト1本
シェードの変化
2回目来店
メニュー ホームトレーお渡し、クリーニング
3回目来店
メニュー ホワイトニング
右上1 C1からD2
右下3 A4からB3
ホームホワイトニングは週に3~4回、2Hづつできた。
お痛みはないのでHG16%に濃度上げました。
上下で色の差があるので、黄ばみの濃いしただけホームホワイトニングを行うことも提案
4回目来店
メニュー ホワイトニング
右上1 D2からA4
右下3 B4からA3
前回ホワイトニング後ホームホワイトニングをすると知覚過敏症状が出た。そこからしみやすくなったので週に1回30分程度しかできてない。
ホワイトニングをした日は、ホームホワイトニングはお休みして頂き、トゥースペーストの活用や、ホームジェルの量を調整するなどご提案。
できるだけ回数を増やしてもらう。
5回目来店
メニュー ホワイトニング
右上1 A1からBL4
右下3 A3からC1
オパールエッセンスのHG10%
前回のホワイトニング後も1~2日強く痛み、ホームホワイトニングをするのも少し怖くなった。
HGのブランドを変えて、オパールエッセンスの10%で使用して様子見てもらう
明日挙式とのことで、ホワイトニングもシミどめ多くして施術。
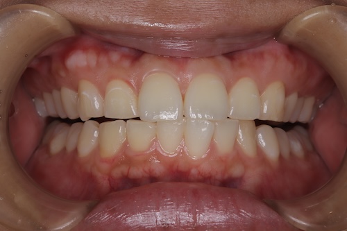
6回目来店
メニュー ホワイトニング
右上1 B1からBL4
右下3 C1からD2
オパールエッセンスのHG10%
シェードご満足いただき、メンテへ。
クリーニングは定期的に検診受けてるクリニックに行かれる。
コメント
初めの段階で知覚過敏症が発症したため、ホームホワイトニングの回数もペースダウンした。
ホームジェルの種類や濃度を変えながら、できるだけ知覚過敏を抑えながら進めた。
上下の色の差は残りますが、ご本人様ご満足いただけたのでメンテに移行した。
今後定期的なホワイトニングのメンテナンスとご自宅での色戻りケアを指導し、きれいなお色をキープできるようにサポートさせて頂けたらと思う。
〒101-0052 東京都千代田区神田小川町3丁目8番地 中北ビル2階
歯科医師 藏前尚子



