ホワイトニング症例報告
東京 ホワイトニングサロンボーテ神田の症例報告30代女性 白くしたい!と言う気持ちが強い方
もともとそんなに色味は濃くないが、笑って白く見えるようになりたいとお越しいただいた
施術内容
パーフェクト美白プラン(3ヶ月分) (税込み168,300円)
⚫︎オフィスホワイトニング6回分
⚫︎クリーニング(スタンダードケア1回分)
⚫︎マウスピース、トレイ、上下、付属品
⚫︎ホームシェル5日分× 18本
⚫︎ NBベリーホワイト1本
⚫︎ NBトゥースペースト1本
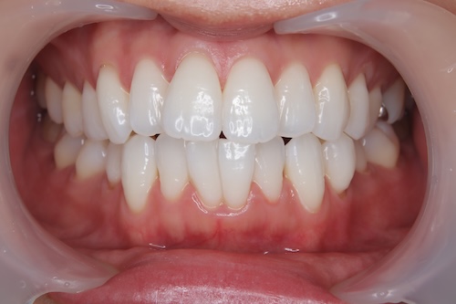
シェードの変化
初心者シェード
右上1番B1 右上3番B 2
目標シェード 020
ホームホワイトニングはオフィスホワイトニング4回目までに
濃度10%から22%まで上げることが可能だった
毎日使用時間は2時間使用
4回目オフィスホワイトニングでは
右上1番030から、020へアップ
右上3番040から、030へアップ
引き続きホームホワイトニング22%ご使用いただく
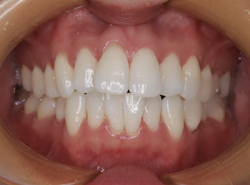
6回目のオフィスホワイトニングでは
右上1番020
右上3番030
まで色味が上がりまだ未使用のホームシェルが残っているので、引き続きホームホワイトニングはしていくとの事
コメント
初診時とてもやる気があるという感じで、オフィスホワイトニングとホームホワイトニング両方をすんなりと受け入れていただき、空いているお時間にホームホワイトニングができるということでコーススタート。
痛みが出なかったのが良かったということで、おうちでもどんどん濃度を上げていけることが可能であった。
白くなることに楽しみを覚えてくださり、今後もメンテナンスとしてホームシェル、もしくはオフィスホワイトニング+クリーニングを定期的に通っていただく予定
〒101-0052 東京都千代田区神田小川町3丁目8番地 中北ビル2階
歯科医師 藏前尚子



