ホワイトニング症例報告
東京 ホワイトニングサロンボーテ神田の症例報告20代女性 10年前に別のところでオフィスホワイトニングをしていた。
ホワイトニング後は特にメンテナンスをしていなかったので色戻りしてきた。
白さを取り戻したいので来院。
元々オフィスホワイトニングをしていたのでホームホワイトニングに関してとても積極的なお客様だった。
ホワイトニングの知識をお伝えするととても喜んでくださった。
メカニズムを知る事でメンテナンスの重要さも理解してくださり今後も3ヶ月に1度クリーニングとホワイトニングで白く美しい健康な歯を維持していく。
施術内容
ナチュラル美白プラン(2ヶ月分)(122,100税込円)
・オフィスホワイトニング4回分
・クリーニング(スタンダードケア)1回分
・マウスピーストレー上下・付属品
・ホームジェル5日分x12本
・NBベリーホワイト1本
・NBトゥースペースト1本
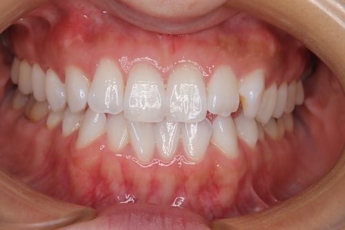
シェードの変化
初診時シェード 右上1 B1 右下3 D2
目標 BL02〜01
初回)オフィスホワイトニング 右上1 BL04 右下3 B1
下の歯一度でかなり色上がりよく効果を感じた。
2回目)オフィスホワイトニング 右上1 BL03 右下3 BL03
濃度は10%お渡し。お風呂で使う予定。
3回目)オフィスホワイトニング 右上1 BL02 右下3 BL03
ホームホワイトニング10%、30分毎日行えている。16%お渡しし、16%から使っていただく
4回目)オフィスホワイトニング 右上1 BL01 右下3 BL03
ホームホワイトニング16% 2時間使用中。下の歯、唾液でホームジェル薄まっている可能性。根元の部分の色味が少し気になる。唇にティッシュかガーゼを挟み防湿防水してもらいホームホワイトニングを行ってもらう。
コメント
ホームホワイトニングをしたことがなかったので色戻りを感じやすかった。
ホームホワイトニングの大切さとメンテナンスの重要性をお話しする事でホワイトニングについて理解してくださり3ヶ月に1度クリーニングとホワイトニングでメンテナンスしていく。
〒101-0052 東京都千代田区神田小川町3丁目8番地 中北ビル2階
歯科医師 藏前尚子



