ホワイトニング症例報告
東京 ホワイトニングサロンボーテ神田の症例報告40代女性 20年前にホワイトニングしたが、白くならず嫌になりやめた。その後病気を患い完治され、やってみたかったけどできなかったホワイトニングに再度チャレンジしたいと来院された。
施術内容
パーフェクト美白プラン(3ヶ月)
税込168,300円
・オフィスホワイトニング6回
・クリーニングスタンダードケア1回
・マウスピーストレー上下・付属品
・ホームジェル5日分×18本
・NBベリーホワイト1本
・NBトゥースペースト1本
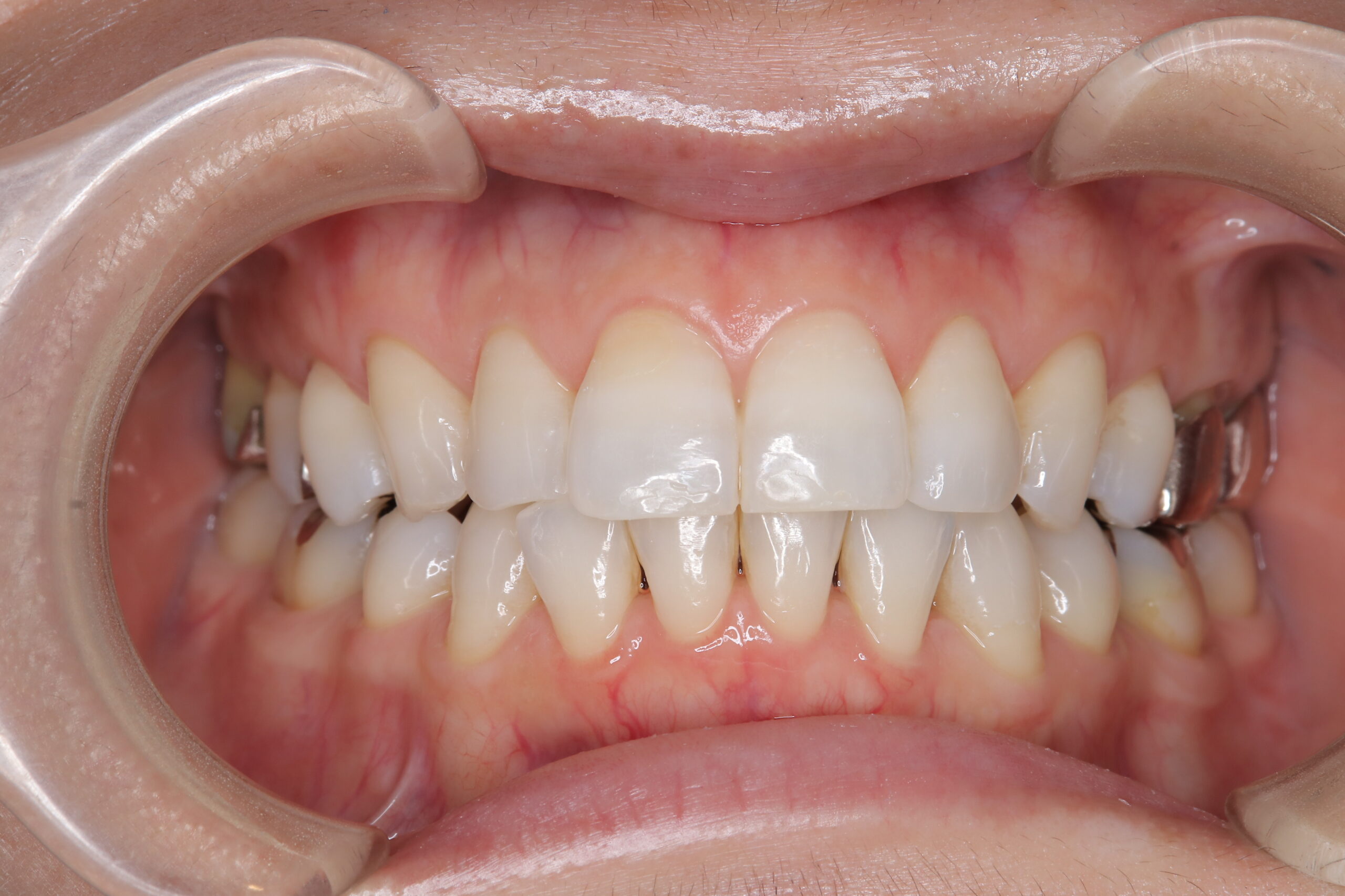
シェードの変化
初診時シェード右上1 A3 右下3 B4
目標BL3
2回目のオフィスホワイトニングでは右上1 C2
右下3 B3ホームホワイトニング10%ほぼ毎日30分〜2時間できた。どんどん白くなりたい。
歯ブラシ圧注意、クラプロ処方
3回目のオフィスホワイトニングでは右上1 A2
右下3D4
ホームホワイトニング16%ほぼ毎日行っていた。クラプロ使用感良い。
4回目のオフィスホワイトニングでは右上1B2
右下3 A2
ホームホワイトニング22%ほぼ毎日使用。
フロス毎日通している。ブラシ圧も意識している。右上45あたり少ししみるがNBトゥースペースト使用しながら落ち着いてホワイトニングできている。
5回目のオフィスホワイトニングでは右上1B1
右下3B2
ホームホワイトニング22%ほぼ毎日2時間行えている。白さを実感されている。ご主人にも白くなってきたと変化を言われとても嬉しいと仰ってました。
6回目のオフィスホワイトニングでは右上1BL4
右下3B1
ホームホワイトニング35%ほぼ毎日2時間行えている。NBトゥースペースト、クラプロ2本ご購入。ブラッシングも良い感じ。
7回目オフィスホワイトニングでは右上1BL3
右下3BL4
ホームホワイトニング35%ほぼ毎日2時間行えている。しみない。
コメント
あきらめていたホワイトニングにチャレンジしたいとカウンセリングで思いを知り、全力でサポートします!と約束し、毎回ご来店の度に歯の白さとお客様の努力に感動しながら施術させていただきました。
NBトゥースペースト、クラプロをご使用いただき、歯ブラシ圧もコントロールしながら
お口のケアも頑張ってくださっています。
コース終了後はホワイトニング回数券とバースデーチケットもお得にご利用いただき、
ホームケアではホワイトニングテープを気に入ってご使用いただいてます。
現在は3ヶ月ごとにホワイトニングメンテナンスでお越しいただいております。
ホワイトニングにチャレンジして人生良くなったと話をされ、2人で涙した思い出も忘れません。
私もお客様からたくさんの学びと仕事のやりがいをいただいております。
ホワイトニングサロンボーテ神田〒101-0052 東京都千代田区神田小川町3丁目8番地 中北ビル2階
歯科医師 藏前尚子



