ホワイトニング症例報告
東京 ホワイトニングサロンボーテ神田の症例報告矯正歯科で子供さんが矯正をされており、ボーテを知りホワイトニングしたいと思いご来店なさいました。
色戻りせず1番白い歯になりたいとお話されていました。
施術内容
パーフェクト美白プラン(3ヶ月)➕バースディスペシャルホワイトニング半額
(税込184250円)
⚫︎オフィスホワイトニング6回
⚫︎クリーニング(スタンダードケア)1回
⚫︎マウスピース上下・付属品
⚫︎ホームジェル5日分✖️18本
⚫︎NBトゥースペースト1本
⚫︎NBベリーホワイト1本
⚫︎バースディスペシャルホワイトニング1回
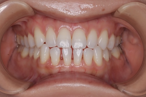
シェードの変化
初診時
シェード右下3B4→D3、右上1C2→A2
目標BL1
2回目
クリーニングとホームホワイトニングお渡し。
ホームジェル10%2本お渡し、使用方法を説明。
3回目
バースディスペシャルホワイトニング。
シェード右下A3.5→D3、右上C1→D2
忙しい時もあったがほぼ毎日ホームホワイトニング1時間半できている。
ホームジェル10%3本お渡し、NBトゥースペーストも使用できている。洗浄剤2ヶ月分ご購入。
4回目
シェード右下D3→C2、右上D2→A1
ほぼ毎日1時間ホームホワイトニングできている。順調に色上がり。ホームジェルは16%3本お渡し。早く白くなりたいとさらに楽しみにしてくださっている。
5回目
シェード右下C2→A2、右上A1→B1
ほぼ毎日1時間ホームホワイトニングできている。白くなったと実感あり。ホームジェルは16%3本お渡し。NBベリーホワイト追加購入。
6回目
シェード右下A2→B2、右上B1→BL4
毎日1時間ホームホワイトニングできている。ご主人に歯が白くなったと言われさらに嬉しい。ホームジェルは22%3本お渡し。
7回目
シェード右下A2→A1、右上BL4→BL3
1週間はバタバタしていてホームホワイトニングできなかったが、それ以外は毎日1時間できた。ホームジェルは22%2本、35%1本お渡し。
洗浄剤ご購入。歯石が付着しており、前回クリーニングから3ヶ月経つので次回クリーニング提案。
8回目
シェード右下A1→BL4、右上BL3→BL2
追加クリーニングでメンテナンスでき、
リラックス。さらに白くなったとクリーニングとホワイトニングでのメンテ必要性をご実感いただけた。下顎奥歯は磨きにくいところ、ブラッシング指導。ホームジェルは最後1本35%でお渡し➕追加で2本35%ご購入。NBベリーホワイトも気に入っておられ、1本ご購入。
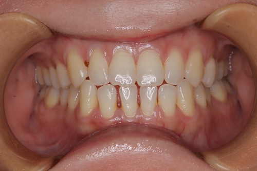
9回目
シェード右下BL4→BL3、右上BL2→BL1
ホームホワイトニング毎日1時間続けられ白さも初回時との比較で白くなったとびっくりされていた。
コメント
初診時
食いしばりがあり、しみないか様子みながら施術しました。歯医者は1年ぶりでメンテナンスはされておらず歯石も付着、歯周病の説明をして、3ヶ月毎のメンテナンスをお勧めしました。
しみないか様子をみていましたが、大丈夫でした。忙しい日もあったがほぼ毎日ホームホワイトニングできて頑張れましたとお話されていました。毎回ホームジェルを使い切ってご来店され、ケア用品もリピートされ確実に白く結果をだされており素晴らしかったです。
クリーニングとホワイトニングのタッチアップもメンテナンスの重要性とご体感いただき、
今後もメンテナンスで通っていただきます。
毎回ホームケアの取り組みやご家族やご友人に歯の白さに気づかれる楽しみを笑顔でお話されていて私も嬉しくなりました。
ホワイトニングサロンボーテ神田〒101-0052 東京都千代田区神田小川町3丁目8番地 中北ビル2階
歯科医師 藏前尚子



