ホワイトニング症例報告
東京 ホワイトニングサロンボーテ神田の症例報告30代男性 美意識が高いお客様。
施術内容
パーフェクト美白プラン(3ヶ月分)(税込168,300円)
・オフィスホワイトニング6回分
・クリーニング
(スタンダードケア)1回分
・マウスピーストレー上下・付属品
・ホームジェル5日分✕18本
・NBベリーホワイト1本
・NBトゥースペースト1本
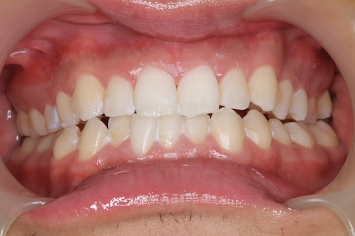
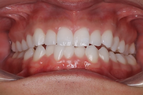
シェードの変化
初診時シェード右上1 A1 右上3 A3.5
目標010
4回目のオフィスホワイトニングでは、右上1 030 右上3 040
ホームホワイトニング16%毎日2時間を行っていた。
6回目のオフィスホワイトニング時には右上010 右上 020
ホームホワイトニング22%週3〜5行っていた。
コメント
美に対する関心がすごく、しっかり毎日ホームホワイトニングを頑張ると継続してくださった。
最後の方になると痛みが出てきたため、頻度は少し減ってしまった。本人はすごく満足され、このシェードをキープしたいとメンテナンスも考えていらっしゃった。
〒101-0052 東京都千代田区神田小川町3丁目8番地 中北ビル2階
歯科医師 藏前尚子



