ホワイトニング症例報告
東京 ホワイトニングサロンボーテ神田の症例報告30代男性 仕事の付き合い上、歯をきれいに清潔にしたい
笑ったときに、びっくりされるくらい白くしたいとおっしゃっていた
施術内容
パーフェクト美白プラン(3ヶ月) (税込み168,300円)
オフィスホワイトニング6回
プロフェッショナルクリーニング1回
マウスピース、トレイ、上下、付属品
ホームジェル5日分× 18本
NBベリーホワイト1本
NBトゥースペースト1本
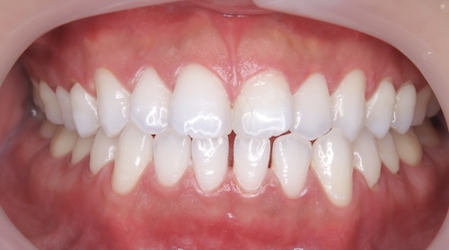
シェードの変化
初心時シェード右上1番A2、左下3番A3
目標BL010
4回目のオフィスホワイトニング時
右上1番BL 030 左下3番A 1
ホームホワイトニングも毎日されており、順調に濃度を上げていき、22%で既に1ヵ月行っていただいていた。
6回目のオフィスホワイトニング時
右上1番BL 010 左下3番PL 020
この頃には35%を1ヵ月間ご使用いただき、すべての18本のホームシェルを使い終わってこられた。
コメント
初診時からモチベーションが高くお付き合いがあるそうなので、口元を清潔にしたいと思われた。毎日忙しくてもできていると言うことで、順調に色を上げていき、3ヶ月できっちりと目標の色味まで上げることができた。
今後はメンテナンス(オフィスホワイトニングとプロフェッショナルクリーニングのセット)で3ヶ月に1回ご来院をいただきながら、家ではペンとライトでメインテナンスを行っていかれる。
ホワイトニングサロンボーテ神田〒101-0052 東京都千代田区神田小川町3丁目8番地 中北ビル2階
歯科医師 藏前尚子



