ホワイトニング症例報告
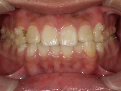
東京 ホワイトニングサロンボーテ神田の症例報告10代男性 矯正をしておりアタッチメントがところどころついてるお客様。
歯の面に白濁が見られていました。
黄ばみをとり白濁をわかりづらくしていきたいと来店。
施術内容
単品で月1ペースで来店。
・スタンダードクリーニング1回 11000円
・オフィスホワイトニング3回 15400円×3
・ペンライト 17600円
・ペン1本追加 4400円
・GOスマイル 7700円
・NBベリーホワイト2本 2750円×2
・NBトゥースペースト2本 2970円×2
シェードの変化
初診時シェード 右上1 A3 右下3 A3
目標B1
1回目のスタンダードクリーニングとオフィスホワイトニング後に右上1がC1 右下3がB3まで上がり一回でも比較的に上がりました。次の日からペンライトを最低週3回(3日連続)をやってもらいGOスマイルとNBベリーホワイトとNBトュースペーストは毎日使用していただくようお伝えしました。
2回目のオフィスホワイトニング後のシェードは右上1がB1 右下3がC2まで上がりました。
ペンライトもしっかりできており歯磨き粉もしっかり行えていました♡引き続き継続を伝えました。
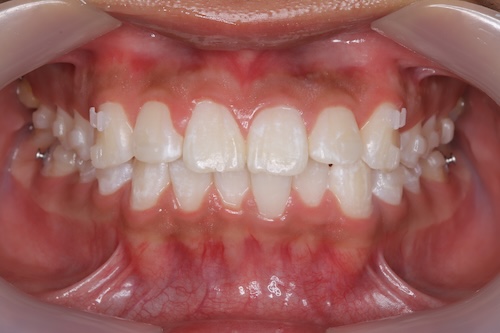
3回目がオフィスホワイトニング後のシェードが右上1がB1 右下3がB2まで上がりました。
前回からペンライトのモチベーションが下がってしまいあまりできなかったですが、変わらずGOスマイル・NBベリーホワイト・NBトゥースペーストは継続できておりシェードキープができてました。
目標には達成しましたがより綺麗にしていきたいとお考えで継続的にオフィスホワイトニングをかようとおっしゃってました。
コメント
今回10代だったのでシェードアップが早く綺麗になりました。
また、簡単にできるペンライトと歯磨き粉類のホームケアでここまでしっかり色も上がり素晴らしかったです♡
ペンライトは30分だけのケアなので携帯など触る隙間時間で簡単に導入でき結果もしっかり白くしてくれるので良かったです♡
またマウスピース矯正につくアタッチメント部分にもペンですとしっかりお薬を塗ることができ簡単でしたとおっしゃってました。
後半少しモチベーションが下がってしまいましたが、変わらず歯磨き粉類を使用はしていただけていたので目標達成ができよかったです!
変わらず1ヶ月ペースのオフィスホワイトニングと3〜4ヶ月ペースで歯のクリーニングをしていき若いからこそ歯周病予防をしていき健康で美しいお口元のキープができるようサポートしていきます。
〒101-0052 東京都千代田区神田小川町3丁目8番地 中北ビル2階
歯科医師 藏前尚子



