ホワイトニング症例報告
東京 ホワイトニングサロンボーテ神田の症例報告控えめな性格な30代男性
見た目をよくしたい!明るくなりたいとご来院
施術内容
パーフェクト美白プラン(3ヶ月)168300円税込
オフィスホワイトニング6回+プレ1回
クリーニング1回
マウスピース上下
付属品 ホームジェル5日分×18本
ベリーホワイト1本
トゥースペースト1本
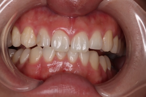
シェードの変化
初診時シェード右上1番D3 左下3番A3.5
目標シェード030
2回目オフィスホワイトニング
右上D1 左下A2
ホームホワイトニング10%毎日
順調10%→16%へ
3回目右上B1 左下B2 16%ヒス無し
ホームホワイトニングは、体調不良で1週間ほどお休みされたが、それ以外は毎日できてる! 16%→22%へ
5回目オフィスホワイトニングで目標シェード達成!6回目期間あけます
コメント
初診時、クリーニングされた事がないとおっしゃったので予防の重要性しっかり話した。
クリーニング、ホームホワイトニングのお渡し時、楽しみです!と言っていただけた
真面目な方で、2回目のホワイトニングの時点で毎日ホームホワイトニングしてくださり、シェード上がり良好!
3回目4回目も順調で、5回目で目標シェード達成!
6回目は1ヶ月期間をあけて来ていただいた。
最後はクリーニングオススメし、コースは終了。
〒101-0052 東京都千代田区神田小川町3丁目8番地 中北ビル2階
歯科医師 藏前尚子



