ホワイトニング症例報告
東京 ホワイトニングサロンボーテ神田の症例報告ホワイトニングに興味を持たれて来院された
20代女性
施術内容
パーフェクト美白プラン(3ヶ月分)(税込168,300)
・オフィスホワイトニング8回分
・クリーニング
(スタンダードケア)1回分
・マウスピーストレー上下・付属品
・ホームジェル5日分×14本
・NBベリーホワイト1本
・NBトゥースペースト1本
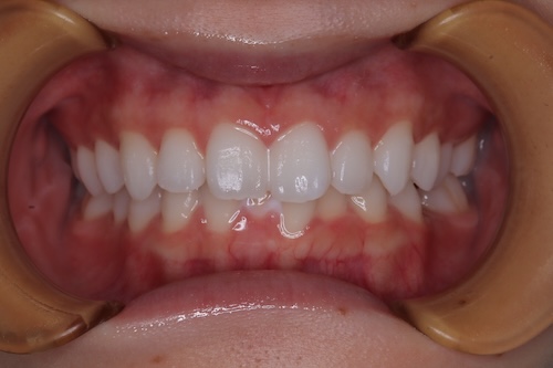
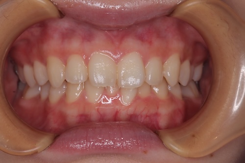
シェードの変化
初診時シェード 右上1 D3 右下3 B4
目標シェードは030
ホームホワイトニングは毎日2時間継続
5回目のオフィスホワイトニング時には右上1 030 右下3 B1
8回目のオフィスホワイトニング時には右上1 010 右下3 030
コメント
初診時カウンセリングの時は予算に迷われながらも3ヶ月頑張る!と決断
毎日ホームホワイトニングを継続して目標の030よりも明るい010まで上げることができました!
周りからも歯が白いと言われ嬉しいと本人も喜ばれていました。
初診時は緊張で笑顔が少なかったですが、歯が白くなるにつれ笑顔が増えて素敵でした!
〒101-0052 東京都千代田区神田小川町3丁目8番地 中北ビル2階
歯科医師 藏前尚子



