ホワイトニング症例報告
東京 ホワイトニングサロンボーテ神田の症例報告30代女性
3人の子どもさんの主婦の方
美意識高く妊娠前ずっとホワイトニング気になっていた
喫煙があったが妊娠を機会にやめた
限界まで白くしていきたいと目標をBL2に設定
施術内容
パーフェクト美白プラン
税込168,300円
オフィスホワイトニング6回
クリーニングスタンダードケア1回
マウスピース上下・付属品
ホームジェル5日分×18本
ベリーホワイト1本
トゥースペースト1本
追加メンテナンスとして
ホワイトニング単品1回
ホワイトニング回数券4回券
クリーニングスタンダードケア単品2回
ゴースマイル1本
オーラルジェル1本
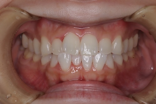
シェードの変化
初診
シェード右上1 D2、右下3 B4
目標BL2
クリーニングスタンダードケア
歯石が多く、全て除去
ホームホワイトニングの説明
オフィスホワイトニング1回目
シェード右上1 B2、右下3 C2
ホームジェル10%で少ししみた
トゥースペーストの使用を再度指導
オフィスホワイトニング3回目
シェード右上1 B1、右下3 B2
しみる症状落ち着き濃度も16%に
ホームジェルの減りが遅くなり量の確認
少し多めすることを指導いれる
オフィスホワイトニング6回目
シェード右上1 BL4、右下3 B1
シェードに満足
ここからはメンテナンスに入る
この時クリーニングスタンダードケアも一緒に行った
メンテナンスで2年半ぶりに来店
矯正行っていたのでそちらを優先的に行っていた
また色戻り気になってきた
ホワイトニング回数券でオフィスホワイトニング中心に月1ホワイトニングメンテナンス中、クリーニングスタンダードケア3ヵ月に1回行っている
コメント
初診時は幼稚園と7ヵ月のお子様がいらっしゃる状況でのご来店でした。
忙しい中でも歯に対する意識が高く、確実に白くなるデュアルホワイトニングを選択されました。
途中しみたりや、ホームジェルの減りが遅くなったりとありましたが、その都度トゥースペーストの使用の説明やジェル量の確認を行っていき、継続してホームホワイトニングを行っていきました。
白くなるにつれてご満足していただき、最後は比較写真でも分かる納得の白さを手に入れていただきました。
一度メンテナンスが途絶えていましたが、また色戻りが気になると2年半ぶりに来店され、オフィスホワイトニング中心にホワイトニングメンテナンスを行い、併せて歯石も付きやすいので3ヵ月ごとにはクリーニングとオフィスホワイトニングとのセットメニューで白さを一気に戻しています。
引き続きメンテナンスを行っていきます。
〒101-0052 東京都千代田区神田小川町3丁目8番地 中北ビル2階
歯科医師 藏前尚子



