ホワイトニング症例報告
東京 ホワイトニングサロンボーテ神田の症例報告施術内容
パーフェクト美白プラン(3ヶ月分)(税込168,300円)
・オフィスホワイトニング6回分
・クリーニング
(スタンダードケア)1回分
・マウスピーストレー上下・付属品
・ホームジェル5日分x18本
・NBベリーホワイト1本
・NBトゥースペースト1本
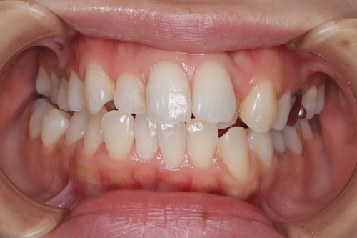
シェードの変化
初診 右下2(D3)、左上3(A4)
目標 BL3
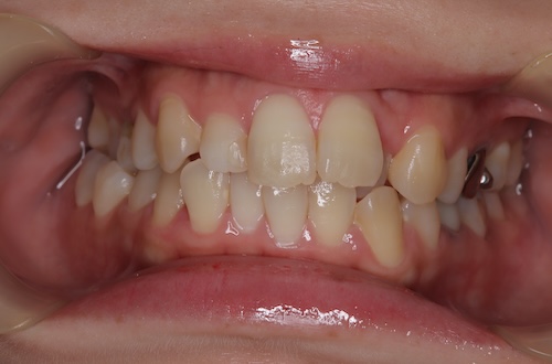
1回目のオフィスホワイトニング。ホームホワイトニングを毎日頑張って2、3週間頑張ってくださったので5段階以上上がった。オフィスホワイトニング後さらに右下2(C1→A2)、右上3(A3→C2)。
2回目のオフィスホワイトニング。ホームホワイトニングのペース落ちていたけど週3・4に増やして頑張ってくださった。順調に白くあがって本人も満足。右下2(A1→BL4)、右上3(B2→B1)
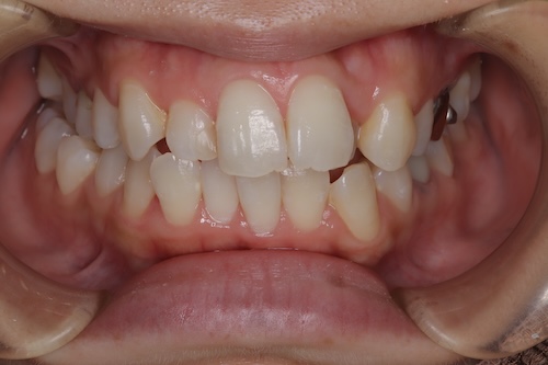
4回目のオフィスホワイトニング。ホームホワイトニング週2。今の色で満足なので今後はメンテナンスで通うことに。右下2(BL4)、右上3(B1)。
6回目のオフィスホワイトニング。メンテナンスで白さ安定。ホームホワイトニングも月に1〜2回程度。右下2(BL4→BL3)、右上3(B1)。
コメント
最初の段階でホームホワイトニングをほぼ毎日続けてくださったおかげで早くメンテナンスの移行することができた。本人も目標シェードに到達して満足した様子だった。今後白さを保ち健康状態を維持するためにも定期的にクリーニングとホワイトニングで通うことを提案。
ホームケアとして月に1〜2回程度のホームホワイトニングも取り入れてもらう。
〒101-0052 東京都千代田区神田小川町3丁目8番地 中北ビル2階
歯科医師 藏前尚子





