ホワイトニング症例報告
東京 ホワイトニングサロンボーテ神田の症例報告40代女性
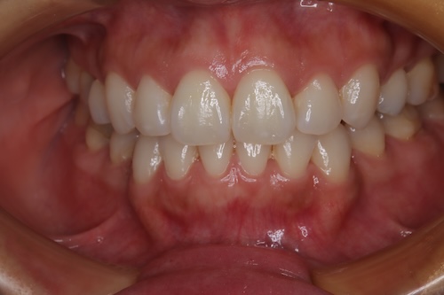
矯正治療終了後、口元の意識も高まり、歯を白くしたいとご来院された
施術内容
パーフェクト美白プラン(3ヶ月分) (税込み168,300円)
オフィスホワイトニング6回分
クリーニングスタンダードケア1回分
マウスピーストレイ、上下、付属品
ホームシェル5日分× 18本
NBトゥースペ1本
NBベリーホワイト1本
シェードの変化
初診時、シェード 右上1番D4 右下3番D3
目標 BL030
4回目のオフィスホワイトニング時
右上1番040 右下3番B1 まで色味が上がった。
それまでホームホワイトニングを続けていただき、10%から16%まで濃度を上げていた。以後22%へ移行した。
6回目のオフィスホワイトニング時
右上1番030 右下3番040まで色味が上がり、22%のホームジェルも痛みもなくご使用されている。
コメント
初診時は色味が少しくすみがあり、色が上がるかご不安でいらっしゃったが、お忙しい中夜毎日2時間ほどご使用していただいた。
クリーニングも引き続き行いたいということで、ホワイトニングとクリーニングのメンテナンスを3ヶ月ごとに行う予定。
おうちでのケアは残っているジェルと+35%へ上げたジェルをライトと併用された。
その後ペンとライトを併用して継続していくころになった。
〒101-0052 東京都千代田区神田小川町3丁目8番地 中北ビル2階
歯科医師 藏前尚子



