ホワイトニング症例報告
東京 ホワイトニングサロンボーテ神田の症例報告50代後半女性 人生初のホワイトニング
かかりつけの歯医者にて、ホワイトニングはできないと言われて諦めていたが、口コミをもとに、ボーテなら白くなるかも!と思い、来院。
施術内容
プラチナ美白プラン
・オフィスホワイトニング9回分
・クリーニング(スタンダードケア4回分)
・マウスピーストレー上下・付属品
・ホームジェル5日分×18本
・NBベリーホワイト1本
・NBトゥースペースト1本
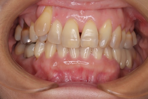
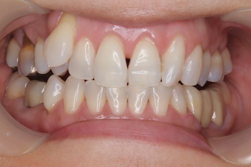
シェードの変化
初回時のシェード
右下3番→A4
右上1番→C3
10%毎日1.5〜2h
4回目のオフィスホワイトニング
右下3番→C1
右上1番→B2
16〜22%毎日1.5〜2h
最終シェード
右下3番→A1
右上1番→030
22%毎日1h
コメント
めんどくさがり屋との事でしたが、ホームホワイトニングの必要性理解し、ほぼ毎日2時間使用のスタート好調。しかし、1ヶ月過ぎたころから、仕事も忙しくなってきた事も相まって出来ない日も続いた。
3回目の来院で、オーバーナイト提案。沁みる症状も無く、トゥースペーストも継続。クリーニングも2ヶ月に1回並行して実施していたことから、歯の艶、色、歯茎の健康までも効果的に得る事が出来、大満足でコース終了となった。
たまにホームジェルの量を自己流となり入れ過ぎてしまう事があるので、メンテナンス時にて定期的に確認し、安心安全に使用いただけるようサポートを続けている。
ホワイトニングサロンボーテ神田〒101-0052 東京都千代田区神田小川町3丁目8番地 中北ビル2階
歯科医師 藏前尚子



