ホワイトニング症例報告
東京 ホワイトニングサロンボーテ神田の症例報告30代女性
ずっと黄ばみが気になっていた
ゴルフをされている
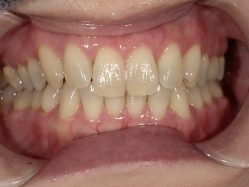
初診時右上1 A3.右下3 B4
自然で白い歯になりたいとお試しでご来院
施術内容
パーフェクト美白プラン(3ヶ月分)(税込168,300円)
オフィスホワイトニング6回のうち2回
プロフェッショナルクリーニング1回
マウスピース上下
ホームホワイトニングジェル5日×18本のうち
6本使用
very white
NBトゥースペースト
コメント
次回来院時まで毎回、薬剤を使い切っておられた。
薬剤濃度は10%から使用し、22%まで濃度アップ
ホームホワイトニングは1ヶ月間ほぼ毎日痛みなく使用されました。
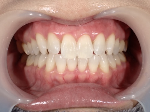
ホームホワイトニングを毎日継続され、1ヶ月でシェードは
人から気づかれ始める白さB1までトーンアップ
ホームホワイトニングはやればやるだけ内部の黄ばみが抜けていくことがわかる。
ホームホワイトニング以外にもvery white、NBトゥースペーストでのケアもされており
歯の艶感もある。
今後は更にブリーチシェードにまで色を上げていくことと、白くなった後のメンテナンスのサポートをしていく
ホワイトニングサロンボーテ神田〒101-0052 東京都千代田区神田小川町3丁目8番地 中北ビル2階
歯科医師 藏前尚子



