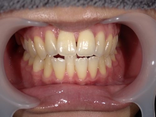
ホワイトニング症例報告
東京 ホワイトニングサロンボーテ神田の症例報告30代女性。
ホワイトニングできるところを色々探していて、インスタの広告に上がってきたので来院されたそうです。
お色味はかなり濃くて笑う時は口元に手を当てるのが癖になっている方でした。
白めがお似合いだと思ったので、コースご提案し受諾。
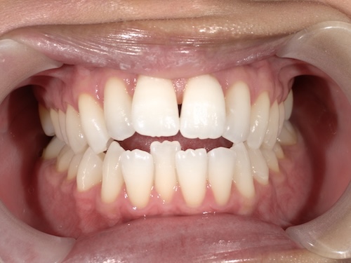
シェードの変化
3回目ご来院時:ホームホワイトニングお渡し後、週4日連続でやることができていた。
4回目ご来院時:旅行に行ったりお仕事も忙しくあまりホームホワイトニングができない日が続いた。
5回目ご来院時:ホームジェルの濃度を上げて対応。一気に上の色が上がってきました。モチベーションもアップされていました。
6回目ご来院時:上下の色の差がかなりあり、下のみホームホワイトニングをしてみたりとご自身で工夫もしてくださっていました。
この辺りの時期に親知らずを抜いたりすることもあり、またホームホワイトニングはできない時期が続きました。来院も少し期間を空けることに。
7回目ご来院時:親知らずの抜歯も落ち着いたがホームホワイトニングができない日もあり、そんな時はゴースマイルを使用され、大幅に色戻りしてしまわない様に対策されていました。
8回目ご来院時:ホームジェルの濃度を上げて連日装着するように頑張ってきてくださったおかげで上顎は目標値BL3より上に。下顎もB1まで上がってきました。
コメント
9回目ご来院時:1番濃度の高い35%も問題なく使えている。ご自身でも色上がりに対して満足されています。周りの人からも「白いね」と言われるそうで喜ばれていました。
残ホームジェル全てお渡ししてコース回数終了しています。
メンテナンス方法についてお伝え。
〒101-0052 東京都千代田区神田小川町3丁目8番地 中北ビル2階
歯科医師 藏前尚子



