ホワイトニング症例報告
東京 ホワイトニングサロンボーテ神田の症例報告30代男性
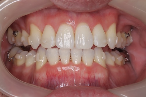
右上1 A4 右上3 C4
マウスピース矯正を3年前から行い、そろそろ終了しそう。
ずっと気になっていた黄ばみをホワイトニングで白くしたい。
でももしかしたらかみ合わせの調整で少しマウスピースを続けるかもしれない。
アタッチメントも少しつくかも。それでもホワイトニングいけるのならしたい。
施術内容
パーフェクト美白プラン(3ヵ月)168300円
ホワイトニング6回+コースご契約プレゼント分1回
クリーニングスタンダード1回
ケア用品
ホームジェル5日分×18本+マウスピースお持ちのため作成分を2本分に交換
合計20本
ベリーホワイト1本
トゥースペースト1本
追加購入
ベリーホワイト1本
トゥースペースト2本
ホワイトニングペン2本
ホームジェル2本
シェードの変化
初診時
右上1 A4 右上3 C4
マウスピース矯正でアタッチメントもつく可能性があったため目標B1に設定
ホワイトニング1回目
コースご契約のホワイトニングプレゼント分
ホームホワイトニングを毎日2時間おこなっていた
右上1 A3 右上3 A3
ホワイトニング5回目
右上1 B1 右上3 A1
右上1は目標達成、ホームホワイトニング引き続き毎日行っていた
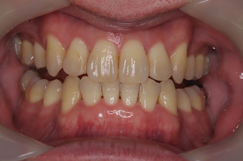
ホワイトニング6回目
右上1 BL4 右上3 B1-A1
右上3も目標達成
今度は歯ぐきの際の色が気になりホワイトニングペンをオススメし購入
ホワイトニング7回目
右上1 BL3-4 右上3 B1
ホワイトニングペンとホームホワイトニングと交互で使用
シェード満足され、このままペンとジェルでメンテナンスをしていくことになった
クリーニングもメンテのケアとして必要だったので、お話いしてクリーニングで今後もきていただくことになった。
コメント
初回カウンセリングで最初はマウスピース矯正が終了するとお話あったが、よくよくヒアリングすると、もしかしたらかみ合わせの調整でもう少しマウスピースをはめることとアタッチメントがつくかもしれないとお話ありました。
ただ本人さんは白くしたい思いとマウスピース矯正中で白くなるのかと葛藤されていました。
矯正自体は、おおむね終わりかけていて奥歯のかみ合わせの調整とお話あったので、アタッチメントがついても支障はないと判断し、その旨をお伝えしました。
お客様も“”それならやってみよう”と仰ってくださり、3ヵ月ホワイトニングをしていくこととなりました。
とても真面目な方だったので、ホームホワイトニングは2時間毎日行い、ベリーホワイト、トゥースペーストも追加購入しながら毎日取り入れていました。
そのおかげもあり、目標達成が早くでき、心配していた矯正中の色上がりに対してもご満足されていました。
最後にホワイトニングペンも使って歯ぐきの際の色も白くしていきました。
今後はメンテナンスとしてクリーニングが必要であることお話しています。
〒101-0052 東京都千代田区神田小川町3丁目8番地 中北ビル2階
歯科医師 藏前尚子



