ホワイトニング症例報告
東京 ホワイトニングサロンボーテ神田の症例報告20代女性、ホワイトニング経験なし、色戻りを防ぎたい。
施術前にしっかりカウンセリングを行なっていて安心して通えそうだなホームページを見て思いボーテに来院してくださいました。
施術内容
パーフェクト美白プラン(3ヶ月分)(税込168,300円)
・オフィスホワイトニング6回分
・クリーニングスタンダードケア 1回分
・マウスピーストレー上下・付属品(洗浄剤・ブラシ)
・ホームジェル5日分x18本
・NBベリーホワイト1本
・NBトゥースペースト1本
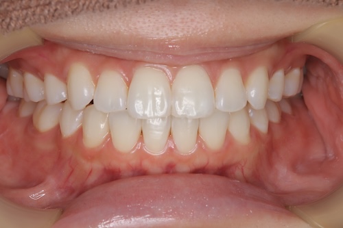
シェードの変化
初診 右下3(A4)、右上1(C3)
1回目オフィスホワイトニングでは、右上が4段階上がり(C3→D3)かなり白くなったと喜んでいただけました。右下3は1段階上がりました。(A4→C3)
2回目オフィスホワイトニングでは、ジェルの濃度10%を使用しホームホワイトニングをほぼ毎日してくださったおかげで、前回来院時から上下とも4〜6段階白く上がりました。右下3(A4→C2)、右上1(C1→A2)
3回目オフィスホワイトニングでは、ホームホワイトニングをほぼ毎日変わらずペースを維持してくださっていましたが、白さが半分より上に到達し、色上がりがゆっくりになってきたのでジェルの濃度を16%にあげてホームホワイトニングをしていただくよう提案しました。右下3(C1→A2)、右上1(A2→D2)
4回目オフィスホワイトニングでは、仕事が忙しくホームホワイトニングが前回より回数は減ったみたいでしたが、しっかり色は白く上がっていました。友人から白くなったと気付かれるようになったと喜んでいただけました。右下3(A2→D2)、右上1(D2→A1)
5回目オフィスホワイトニングでは、シェードが少し停滞気味ですが上下ともに1段階ずつ上がり確実に白くなっていました。上下で色の差が気になるとのことだったので、下だけホームホワイトニングの回数を増やしていただく提案をしました。ジェルの濃度も22%に上げました。右下3(D2→B2)、右上1(A1→B1)
6回目のオフィスホワイトニングでは、下の歯の色をもっと白くしたいとホームホワイトニング2時間ほぼ毎日頑張ってくださいました。少ししみる時もあったけど、トゥースペーストを使用すると症状は軽減され続けれるようになったとのことでした。引き続きトゥースペーストは使用していただくように提案しました。右下3(B2→B1)、右上1(B1→BL4)
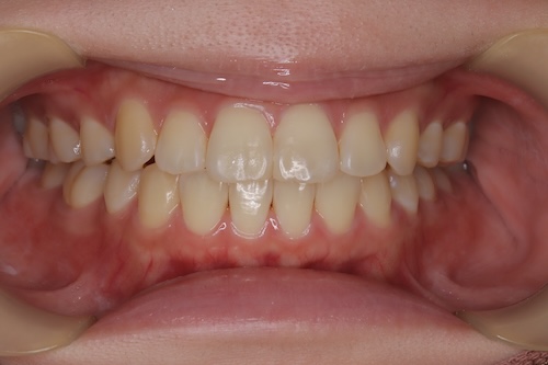
7回目のオフィスホワイトニングでは、クリーニングと同時に施術しました。歯肉マッサージで体がポカポカと暖かくなりとても心地よかったと喜んでいただけました。ホームホワイトニングも継続して最後まで頑張ってくださったおかげで、上の歯は目標の白さまで到達することができました。白さは満足。下だけホームホワイトニングでまだ白くしたいとのことでホームケアを続けていただきながら、次回は3ヶ月後メンテナンスで見ていくことになりました。右下3(B1)、右上1(BL4→BL3)
コメント
初診時から色戻りについて気にされていたので、ホームホワイトニングとオフィスホワイトニングの違いや途中で諦めずにモチベーションを維持しながら、3ヶ月通っていただきました。
お仕事でお忙しい日もあったけど、空き時間を見つけて頑張ってくださったおかげで順調に目標シェードまで到達でき、お客様も周りの友人から白くなった!と気付かれるようになり嬉しいとのお声をいただけました。
満足していただける白さになるまで3ヶ月しっかりサポートさせていただけたことに感謝です。
最後、初診時との比較写真を見ていただき驚かれていました。
今後もメンテナンスでこの白さを維持していきたい!と最高の笑顔で帰っていただけました。
お客様の笑顔を見れることが私たちの喜びでもあります。
これからもっとたくさんの人を幸せにするサポートができるよう、日々努力して参ります
〒101-0052 東京都千代田区神田小川町3丁目8番地 中北ビル2階
歯科医師 藏前尚子



