ホワイトニング症例報告
東京 ホワイトニングサロンボーテ神田の症例報告来院動機
「日焼けが落ち着いてきたので、肌の色が白くなり歯の黄ばみが気になりだした」
とのことでご来院くださいました♩
施術内容
パーフェクト美白プラン(ホワイトニング3ヶ月コース)
税込168,300円
内容
・オフィスホワイトニング7回
・クリーニングスタンダードケア1回
・マウスピーストレー上下・付属品
・ホームジェル5日分x18本
・NBベリーホワイト1本
・NBトゥースペースト1本
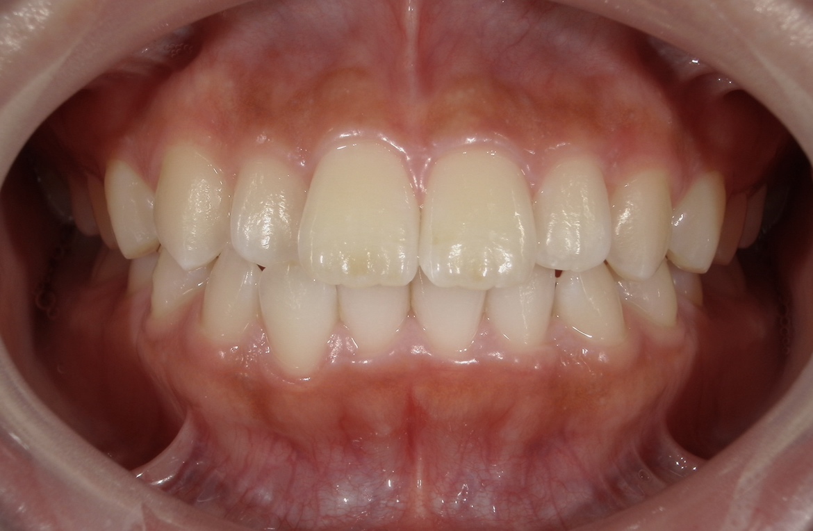
シェードの変化
初診時シェード左上1 A3、左下3 A3.5
目標のお色 030
4回目のオフィスホワイトニングでは、
左上1 020、左下1 040 ホームホワイトニング22%毎日30分していた。
6回目のオフィスホワイトニングでは、
左上1 010、左下1 010 ホームホワイトニング継続して毎日していた。
コメント
ホームホワイトニング30分以上は知覚過敏が出るため、毎日30分までと決めてされていました。
お色も順調に上がっており、目標のお色にも到達されました♩
今後もメンテナンスで、通いたいと仰ってくださいました。
〒101-0052 東京都千代田区神田小川町3丁目8番地 中北ビル2階
歯科医師 藏前尚子



